Antibody data
- Antibody Data
- Antigen structure
- References [0]
- Comments [0]
- Validations
- Western blot [1]
- Immunohistochemistry [1]
Submit
Validation data
Reference
Comment
Report error
- Product number
- GTX108492 - Provider product page

- Provider
- GeneTex
- Proper citation
- GeneTex Cat#GTX108492, RRID:AB_1950494
- Product name
- HLA-DMB antibody [C2C3], C-term
- Antibody type
- Polyclonal
- Reactivity
- Human
- Host
- Rabbit
No comments: Submit comment
Supportive validation
- Submitted by
- GeneTex (provider)
- Main image

- Experimental details
- Western Blot analysis of HLA-DMB expression in transfected 293T cell line by HLA-DMB polyclonal antibody.A:Non-transfected lysate. B:HLA-DMB transfected lysate.12% SDS PAGEGTX108492 diluted at 1:500
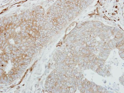
Supportive validation
- Submitted by
- GeneTex (provider)
- Main image

- Experimental details
- Immunohistochemical analysis of paraffin-embedded human colon carcinoma, using HLA-DMB(GTX108492) antibody at 1:250 dilution.