Antibody data
- Antibody Data
- Antigen structure
- References [0]
- Comments [0]
- Validations
- Western blot [2]
- Immunocytochemistry [1]
- Immunohistochemistry [11]
- Other assay [1]
Submit
Validation data
Reference
Comment
Report error
- Product number
- UM800099 - Provider product page

- Provider
- OriGene
- Proper citation
- OriGene Cat#UM800099, RRID:AB_2629208
- Product name
- WIBG mouse monoclonal antibody,clone UMAB207
- Antibody type
- Monoclonal
- Description
- WIBG mouse monoclonal antibody,clone UMAB207
- Host
- Mouse
- Conjugate
- Unconjugated
- Epitope
- PYM1
- Isotype
- IgG
- Antibody clone number
- UMAB207
- Vial size
- 100 µl
- Concentration
- 1.00mg/ml
No comments: Submit comment
Supportive validation
- Submitted by
- OriGene (provider)
- Main image

- Experimental details
- Western blot analysis of extracts (15ug) from 9 Human tissue by using anti-WIBG monoclonal antibody (1: Testis; 2: Uterus; 3: Breast; 4: Brain; 5: Liver; 6: Ovary; 7: Thyroid gland; 8: colon:;9:Spleen).(1:500) Dilution: 1:500
- Validation comment
- WB
- Submitted by
- OriGene (provider)
- Main image

- Experimental details
- Western blot of cell lysates (35ug) from 9 different cell lines (1: HepG2, 2: HeLa, 3: SV-T2, 4: A549. 5: COS7, 6: Jurkat, 7: MDCK, 8: PC-12, 9: MCF7).
- Validation comment
- WB
Supportive validation
- Submitted by
- OriGene (provider)
- Main image

- Experimental details
- Immunofluorescent staining of HeLa cells using anti-WIBG mouse monoclonal antibody (UM800099, green, 1:100). Actin filaments were labeled with Alexa Fluor? 594 Phalloidin (red), and nuclear with DAPI (blue).
- Validation comment
- IF
Supportive validation
- Submitted by
- OriGene (provider)
- Main image

- Experimental details
- Immunohistochemical staining of paraffin-embedded Adenocarcinoma of Human ovary tissue using anti-WIBG mouse monoclonal antibody.(Heat-induced epitope retrieval by 1mM EDTA in 10mM Tris buffer (pH8.5) at 110C for 10 min, UM800099)(1:500)
- Submitted by
- OriGene (provider)
- Main image

- Experimental details
- Immunohistochemical staining of paraffin-embedded Carcinoma of Human liver tissue using anti-WIBG mouse monoclonal antibody.(Heat-induced epitope retrieval by 1mM EDTA in 10mM Tris buffer (pH8.5) at 110C for 10 min, UM800099)(1:500)
- Validation comment
- IHC
- Submitted by
- OriGene (provider)
- Main image

- Experimental details
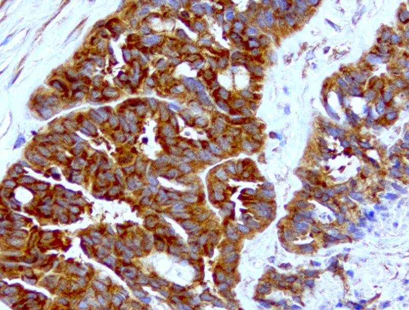
- Immunohistochemical staining of paraffin-embedded Adenocarcinoma of Human colon tissue using anti-WIBG mouse monoclonal antibody. (Heat-induced epitope retrieval by 1mM EDTA in 10mM Tris buffer (pH8.5) at 110C for 10 min, UM800099)(1:500)
- Validation comment
- IHC
- Submitted by
- OriGene (provider)
- Main image

- Experimental details
- Immunohistochemical staining of paraffin-embedded Adenocarcinoma of Human endometrium tissue using anti-WIBG mouse monoclonal antibody.(Heat-induced epitope retrieval by 1mM EDTA in 10mM Tris buffer (pH8.5) at 110C for 10 min, UM800099)(1:500)
- Validation comment
- IHC
- Submitted by
- OriGene (provider)
- Main image

- Experimental details
- Immunohistochemical staining of paraffin-embedded normal/normal adjacent breast with mouse anti-WIBG clone UMAB207 1:400 of 1mg/mL using HIER TEE pH9.0 [GBI Labs B21-Tris/EDTA HIER] . Expression of WIBG is cytoplasmic and some nuclear in normal/normal adjacent breast tissue.
- Validation comment
- IHC
- Submitted by
- OriGene (provider)
- Main image

- Experimental details
- Immunohistochemical staining of paraffin-embedded breast carcinoma with mouse anti-WIBG clone UMAB207 1:400 of 1mg/mL using HIER TEE pH9.0 [GBI Labs B21-Tris/EDTA HIER] . Expression of WIBG is cytoplasmic.
- Validation comment
- IHC
- Submitted by
- OriGene (provider)
- Main image

- Experimental details
- Immunohistochemical staining of paraffin-embedded thyroid with mouse anti-WIBG clone UMAB207 1:400 of 1mg/mL using HIER TEE pH9.0 [GBI Labs B21-Tris/EDTA HIER] . Expression of WIBG is cytoplasmic.
- Validation comment
- IHC
- Submitted by
- OriGene (provider)
- Main image

- Experimental details
- Immunohistochemical staining of paraffin-embedded pancreas with mouse anti-WIBG clone UMAB207 1:400 of 1mg/mL using HIER TEE pH9.0 [GBI Labs B21-Tris/EDTA HIER] . Expression of WIBG is cytoplasmic.
- Validation comment
- IHC
- Submitted by
- OriGene (provider)
- Main image

- Experimental details
- Immunohistochemical staining of paraffin-embedded kidney with mouse anti-WIBG clone UMAB207 1:400 of 1mg/mL using HIER TEE pH9.0 [GBI Labs B21-Tris/EDTA HIER] . Expression of WIBG is cytoplasmic.
- Validation comment
- IHC
- Submitted by
- OriGene (provider)
- Main image

- Experimental details
- Immunohistochemical staining of paraffin-embedded ovarian cancer with mouse anti-WIBG clone UMAB207 1:400 of 1mg/mL using HIER TEE pH9.0 [GBI Labs B21-Tris/EDTA HIER] . Expression of WIBG is cytoplasmic.
- Validation comment
- IHC
- Submitted by
- OriGene (provider)
- Main image

- Experimental details
- Immunohistochemical staining of paraffin-embedded colon cancer with mouse anti-WIBG clone UMAB207 1:400 of 1mg/mL using HIER TEE pH9.0 [GBI Labs B21-Tris/EDTA HIER] . Expression of WIBG is cytoplasmic.
- Validation comment
- IHC
Supportive validation
- Submitted by
- OriGene (provider)
- Main image

- Experimental details
- OriGene overexpression protein microarray chip was immunostained with UltraMAB anti-WIBG mouse monoclonal antibody (UM800099). The positive reactive proteins are highlighted with two red arrows in the enlarged subarray. All the positive controls spotted in this subarray are also labeled for clarification.(1:100)
- Validation comment
- 10K-CHIP