Antibody data
- Antibody Data
- Antigen structure
- References [0]
- Comments [0]
- Validations
- Western blot [1]
- Immunohistochemistry [1]
Submit
Validation data
Reference
Comment
Report error
- Product number
- OAGA01113 - Provider product page

- Provider
- Aviva Systems Biology
- Product name
- GYG2 antibody
- Antibody type
- Polyclonal
- Reactivity
- Human
- Host
- Rabbit
- Isotype
- IgG
- Vial size
- 100µl
- Storage
- Keep as concentrated solution. Aliquot and store at -20°C or below. Avoid multiple freeze-thaw cycles.
No comments: Submit comment
Supportive validation
- Submitted by
- Aviva Systems Biology (provider)
- Main image

- Experimental details
- Sample (30 ug of whole cell lysate) A: 293T 10% SDS PAGE OAGA01113 diluted at 1:1000
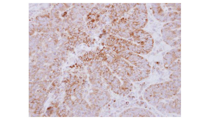
Supportive validation
- Submitted by
- Aviva Systems Biology (provider)
- Main image

- Experimental details
- Immunohistochemical analysis of paraffin-embedded Colon ca, using GYG2(OAGA01113) antibody at 1:500 dilution.