Antibody data
- Antibody Data
- Antigen structure
- References [0]
- Comments [0]
- Validations
- Western blot [2]
- Immunohistochemistry [1]
Submit
Validation data
Reference
Comment
Report error
- Product number
- 24331-1-AP - Provider product page

- Provider
- Proteintech Group
- Product name
- TMEM9B antibody
- Antibody type
- Polyclonal
- Description
- TMEM9B antibody (Cat. #24331-1-AP) is a rabbit polyclonal antibody that shows reactivity with human, rat, mouse and has been validated for the following applications: IHC, WB,ELISA.
- Reactivity
- Human, Mouse, Rat
- Host
- Rabbit
- Conjugate
- Unconjugated
- Isotype
- IgG
- Vial size
- 20ul, 150ul
No comments: Submit comment
Supportive validation
- Submitted by
- Proteintech Group (provider)
- Main image

- Experimental details
- mouse colon tissue were subjected to SDS PAGE followed by western blot with 24331-1-AP( TMEM9B Antibody) at dilution of 1:600
- Sample type
- tissue
- Submitted by
- Proteintech Group (provider)
- Main image

- Experimental details
- rat liver tissue were subjected to SDS PAGE followed by western blot with 24331-1-AP( TMEM9B Antibody) at dilution of 1:1000
- Sample type
- tissue
Supportive validation
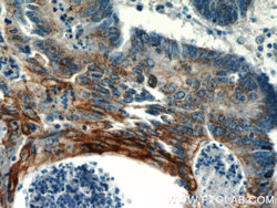
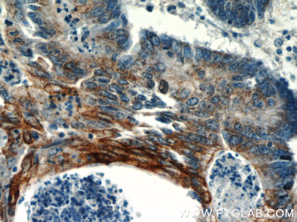
- Submitted by
- Proteintech Group (provider)
- Main image

- Experimental details
- The TMEM9B antibody from Proteintech is a rabbit polyclonal antibody to a fusion protein of human TMEM9B. This antibody recognizes human, rat, mouse antigen. The TMEM9B antibody has been validated for the following applications: ELISA, WB, IHC analysis.