NBP1-89382
antibody from Novus Biologicals
Targeting: NDUFAF3
2P1, C3orf60, DKFZP564J0123, E3-3, MGC10527
Antibody data
- Antibody Data
- Antigen structure
- References [0]
- Comments [0]
- Validations
- Western blot [2]
- Immunohistochemistry [10]
Submit
Validation data
Reference
Comment
Report error
- Product number
- NBP1-89382 - Provider product page

- Provider
- Novus Biologicals
- Proper citation
- Novus Cat#NBP1-89382, RRID:AB_11040435
- Product name
- Rabbit Polyclonal NDUFAF3 Antibody
- Antibody type
- Polyclonal
- Description
- Immunogen affinity purified. Specificity of human, rat NDUFAF3 antibody verified on a Protein Array containing target protein plus 383 other non-specific proteins.
- Reactivity
- Human, Rat
- Host
- Rabbit
- Isotype
- IgG
- Vial size
- 0.1 ml
- Storage
- Store at 4C short term. Aliquot and store at -20C long term. Avoid freeze-thaw cycles.
No comments: Submit comment
Supportive validation
- Submitted by
- Novus Biologicals (provider)
- Main image

- Experimental details
- Western Blot: NDUFAF3 Antibody [NBP1-89382] - Lane 1: Marker [kDa] 230, 130, 95, 72, 56, 36, 28, 17, 11. Lane 2: Human cell line RT-4. Lane 3: Human cell line U-251MG sp
- Submitted by
- Novus Biologicals (provider)
- Main image

- Experimental details
- Western Blot: NDUFAF3 Antibody [NBP1-89382] - Lane 1: NIH-3T3 cell lysate (Mouse embryonic fibroblast cells). Lane 2: NBT-II cell lysate (Rat Wistar bladder tumor cells).
Supportive validation
- Submitted by
- Novus Biologicals (provider)
- Main image

- Experimental details
- Immunohistochemistry-Paraffin: NDUFAF3 Antibody [NBP1-89382] - Staining of human duodenum shows strong granular cytoplasmic positivity in glandular cells.
- Submitted by
- Novus Biologicals (provider)
- Main image

- Experimental details
- Immunohistochemistry-Paraffin: NDUFAF3 Antibody [NBP1-89382] - Staining of human kidney.
- Submitted by
- Novus Biologicals (provider)
- Main image

- Experimental details
- Immunohistochemistry-Paraffin: NDUFAF3 Antibody [NBP1-89382] - Staining of human urinary bladder.
- Submitted by
- Novus Biologicals (provider)
- Main image

- Experimental details
- Immunohistochemistry-Paraffin: NDUFAF3 Antibody [NBP1-89382] - Staining of human colon.
- Submitted by
- Novus Biologicals (provider)
- Main image

- Experimental details
- Immunohistochemistry: NDUFAF3 Antibody [NBP1-89382] - Staining of human prostate shows moderate granular cytoplasmic positivity in glandular cells.
- Submitted by
- Novus Biologicals (provider)
- Main image

- Experimental details
- Immunohistochemistry-Paraffin: NDUFAF3 Antibody [NBP1-89382] - Staining of human testis.
- Submitted by
- Novus Biologicals (provider)
- Main image

- Experimental details
- Immunohistochemistry-Paraffin: NDUFAF3 Antibody [NBP1-89382] - Staining of human fallopian tube, kidney, prostate and testis using Anti-NDUFAF3 antibody NBP1-89382 (A) shows similar protein distribution across tissues to independent antibody NBP2-48638 (B).
- Submitted by
- Novus Biologicals (provider)
- Main image

- Experimental details
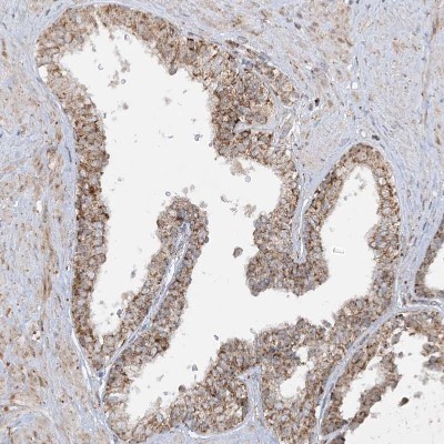
- Immunohistochemistry-Paraffin: NDUFAF3 Antibody [NBP1-89382] - Staining of human Fallopian tube shows moderate granular cytoplasmic positivity in glandular cells.
- Submitted by
- Novus Biologicals (provider)
- Main image

- Experimental details
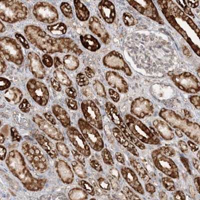
- Immunohistochemistry-Paraffin: NDUFAF3 Antibody [NBP1-89382] - Staining of human kidney shows strong granular cytoplasmic positivity in cells in tubules.
- Submitted by
- Novus Biologicals (provider)
- Main image

- Experimental details
- Immunohistochemistry-Paraffin: NDUFAF3 Antibody [NBP1-89382] - Staining of human testis shows strong granular cytoplasmic positivity in cells in seminiferous ducts.