Antibody data
- Antibody Data
- Antigen structure
- References [0]
- Comments [0]
- Validations
- Western blot [1]
- Immunocytochemistry [1]
- Immunohistochemistry [2]
Submit
Validation data
Reference
Comment
Report error
- Product number
- PA5-60898 - Provider product page

- Provider
- Invitrogen Antibodies
- Product name
- KIAA1143 Polyclonal Antibody
- Antibody type
- Polyclonal
- Antigen
- Recombinant protein fragment
- Description
- Immunogen sequence: IKAEIKAAKA DEEPTPADGR IIYRKPVKHP SDEKYSGLTA SSKKKKPNED EVNQDSVK Highest antigen sequence identity to the following orthologs: Mouse - 79%, Rat - 81%.
- Reactivity
- Human
- Host
- Rabbit
- Isotype
- IgG
- Vial size
- 100 μL
- Concentration
- 0.2 mg/mL
- Storage
- Store at 4°C short term. For long term storage, store at -20°C, avoiding freeze/thaw cycles.
No comments: Submit comment
Supportive validation
- Submitted by
- Invitrogen Antibodies (provider)
- Main image

- Experimental details
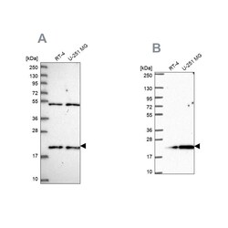
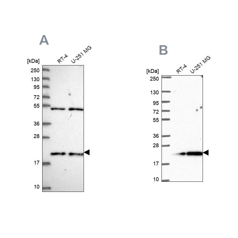
- Western blot analysis of KIAA1143 using KIAA1143 Polyclonal Antibody (Product # PA5-60898) (A) shows similar pattern to an independent KIAA1143 Polyclonal Antibody (B).
Supportive validation
- Submitted by
- Invitrogen Antibodies (provider)
- Main image

- Experimental details
- Immunofluorescent staining of KIAA1143 in human cell line U-251 MG shows positivity in nucleus & vesicles. Samples were probed using a KIAA1143 Polyclonal Antibody (Product # PA5-60898).
Supportive validation
- Submitted by
- Invitrogen Antibodies (provider)
- Main image

- Experimental details
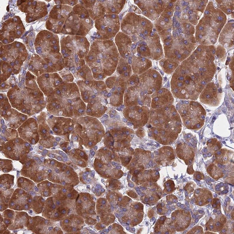
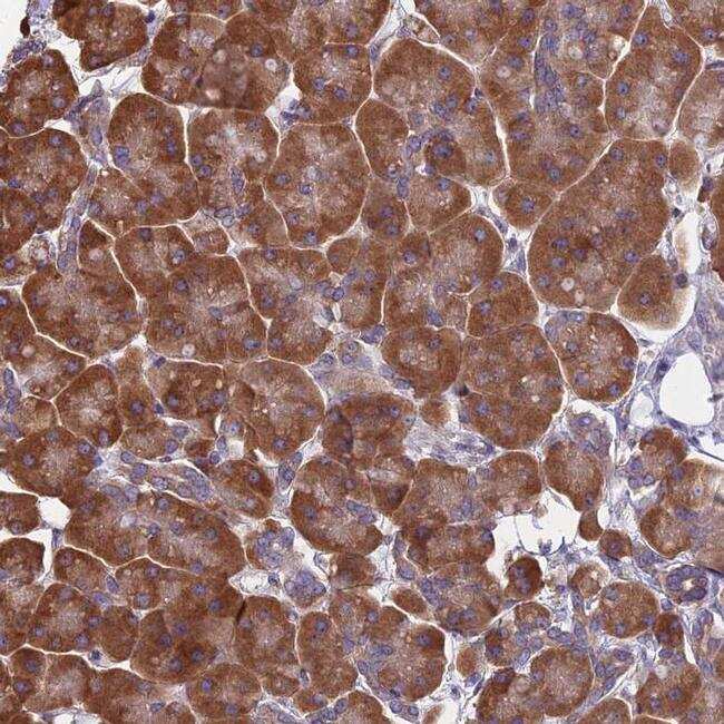
- Immunohistochemical analysis of KIAA1143 in human pancreas using KIAA1143 Polyclonal Antibody (Product # PA5-60898) shows strong cytoplasmic positivity in exocrine glandular cells.
- Submitted by
- Invitrogen Antibodies (provider)
- Main image

- Experimental details
- Immunohistochemical analysis of KIAA1143 in human pancreas using KIAA1143 Polyclonal Antibody (Product # PA5-60898) shows strong cytoplasmic positivity in exocrine glandular cells.