Antibody data
- Antibody Data
- Antigen structure
- References [0]
- Comments [0]
- Validations
- Immunocytochemistry [1]
- Immunohistochemistry [4]
Submit
Validation data
Reference
Comment
Report error
- Product number
- PA5-58508 - Provider product page

- Provider
- Invitrogen Antibodies
- Product name
- PRAP1 Polyclonal Antibody
- Antibody type
- Polyclonal
- Antigen
- Recombinant protein fragment
- Description
- Immunogen sequence: PILPGTKAWM ETEDTLGRVL SPEPDHDSLY HPPPEEDQGE ERPRLWVMPN HQVLLGPEED QDHIYH Highest antigen sequence identity to the following orthologs: Mouse - 43%, Rat - 46%.
- Reactivity
- Human
- Host
- Rabbit
- Isotype
- IgG
- Vial size
- 100 μL
- Concentration
- 0.3 mg/mL
- Storage
- Store at 4°C short term. For long term storage, store at -20°C, avoiding freeze/thaw cycles.
No comments: Submit comment
Supportive validation
- Submitted by
- Invitrogen Antibodies (provider)
- Main image

- Experimental details
- Immunofluorescent staining of PRAP1 in human cell line Hep G2 using a PRAP1 Polyclonal Antibody (Product # PA5-58508) shows localization to nucleoplasm and vesicles.
Supportive validation
- Submitted by
- Invitrogen Antibodies (provider)
- Main image

- Experimental details
- Immunohistochemical analysis of PRAP1 in human tonsil using PRAP1 Polyclonal Antibody (Product # PA5-58508) shows no positivity in non-germinal center cells as expected.
- Submitted by
- Invitrogen Antibodies (provider)
- Main image

- Experimental details
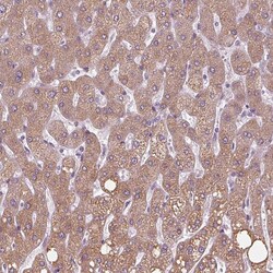
- Immunohistochemical analysis of PRAP1 in human liver using PRAP1 Polyclonal Antibody (Product # PA5-58508) shows weak granular cytoplasmic positivity in hepatocytes.
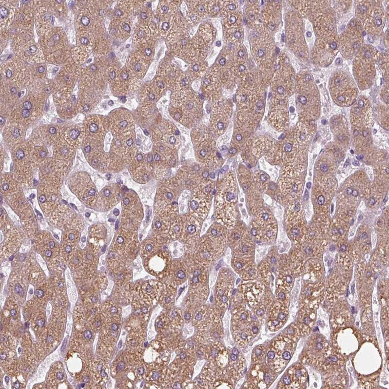
- Submitted by
- Invitrogen Antibodies (provider)
- Main image

- Experimental details
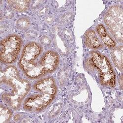
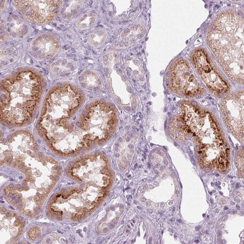
- Immunohistochemical analysis of PRAP1 in human kidney using PRAP1 Polyclonal Antibody (Product # PA5-58508) shows moderate granular cytoplasmic positivity in cells in tubules.
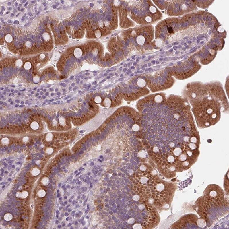
- Submitted by
- Invitrogen Antibodies (provider)
- Main image

- Experimental details
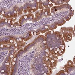
- Immunohistochemical analysis of PRAP1 in human small intestine using PRAP1 Polyclonal Antibody (Product # PA5-58508) shows moderate granular cytoplasmic positivity in glandular cells.