Antibody data
- Antibody Data
- Antigen structure
- References [1]
- Comments [0]
- Validations
- Western blot [1]
- Immunohistochemistry [2]
Submit
Validation data
Reference
Comment
Report error
- Product number
- 11932-1-AP - Provider product page

- Provider
- Proteintech Group
- Proper citation
- Proteintech Cat#11932-1-AP, RRID:AB_10951856
- Product name
- PRAP1 antibody
- Antibody type
- Polyclonal
- Description
- PRAP1 antibody (Cat. #11932-1-AP) is a rabbit polyclonal antibody that shows reactivity with human, mouse and has been validated for the following applications: IHC, WB,ELISA.
- Reactivity
- Human, Mouse
- Host
- Rabbit
- Conjugate
- Unconjugated
- Isotype
- IgG
- Vial size
- 20ul, 150ul
Submitted references Adipocyte-Derived Exosomal MTTP Suppresses Ferroptosis and Promotes Chemoresistance in Colorectal Cancer.
Zhang Q, Deng T, Zhang H, Zuo D, Zhu Q, Bai M, Liu R, Ning T, Zhang L, Yu Z, Zhang H, Ba Y
Advanced science (Weinheim, Baden-Wurttemberg, Germany) 2022 Oct;9(28):e2203357
Advanced science (Weinheim, Baden-Wurttemberg, Germany) 2022 Oct;9(28):e2203357
No comments: Submit comment
Supportive validation
- Submitted by
- Proteintech Group (provider)
- Main image

- Experimental details
- L02 cells were subjected to SDS PAGE followed by western blot with 11932-1-AP(PRAP1 antibody) at dilution of 1:1000
- Sample type
- cell line
Supportive validation
Supportive validation
- Submitted by
- Proteintech Group (provider)
- Main image

- Experimental details
- The PRAP1 antibody from Proteintech is a rabbit polyclonal antibody to a recombinant protein of human PRAP1. This antibody recognizes human antigen. The PRAP1 antibody has been validated for the following applications: ELISA, WB, IHC analysis.
Supportive validation
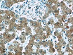
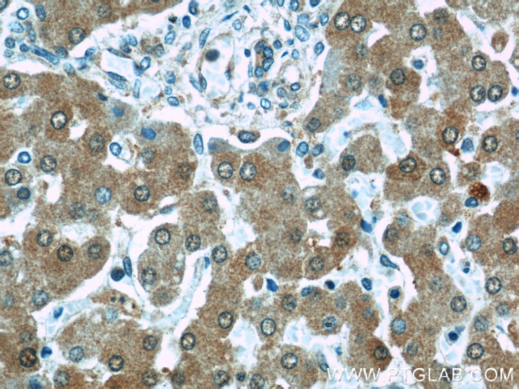
- Submitted by
- Proteintech Group (provider)
- Main image

- Experimental details
- Immunohistochemical of paraffin-embedded human liver using 11932-1-AP(PRAP1 antibody) at dilution of 1:50 (under 10x lens)
- Sample type
- tissue