PA5-112180
antibody from Invitrogen Antibodies
Targeting: MRPS26
C20orf193, dJ534B8.3, MRP-S13, MRP-S26, RPMS13
Antibody data
- Antibody Data
- Antigen structure
- References [0]
- Comments [0]
- Validations
- Immunocytochemistry [2]
- Immunoprecipitation [1]
- Immunohistochemistry [2]
- Other assay [1]
Submit
Validation data
Reference
Comment
Report error
- Product number
- PA5-112180 - Provider product page

- Provider
- Invitrogen Antibodies
- Product name
- MRPS26 Polyclonal Antibody
- Antibody type
- Polyclonal
- Antigen
- Other
- Reactivity
- Human
- Host
- Rabbit
- Isotype
- IgG
- Vial size
- 100 μL
- Concentration
- 1 mg/mL
- Storage
- Store at 4°C short term. For long term storage, store at -20°C, avoiding freeze/thaw cycles.
No comments: Submit comment
Supportive validation
- Submitted by
- Invitrogen Antibodies (provider)
- Main image

- Experimental details
- Immunocytochemistry-Immunofluorescence analysis of MRPS26 in U2OS cells. Cells were fixed with 4% PFA, permeabilized with 0.1% Triton X-100 in PBS, blocked with 10% serum, and incubated with MRPS26 Polyclonal Antibody (Product # PA5-112180) (1:200) at 4°C overnight. Then cells were stained with the Alexa Fluor 488-conjugated Goat Anti-rabbit IgG secondary antibody (green) and counterstained with DAPI (blue). Positive staining was localized to Cytoplasm.
- Submitted by
- Invitrogen Antibodies (provider)
- Main image

- Experimental details
- Immunocytochemistry-Immunofluorescence analysis of MRPS26 in U2OS cells. Cells were fixed with 4% PFA, permeabilized with 0.1% Triton X-100 in PBS, blocked with 10% serum, and incubated with MRPS26 Polyclonal Antibody (Product # PA5-112180) (1:200) at 4°C overnight. Then cells were stained with the Alexa Fluor 488-conjugated Goat Anti-rabbit IgG secondary antibody (green) and counterstained with DAPI (blue). Positive staining was localized to Cytoplasm.
Supportive validation
- Submitted by
- Invitrogen Antibodies (provider)
- Main image

- Experimental details
- Immunoprecipitation of MRPS26 was performed on (Lane A) 0.5 mg HepG2 whole cell lysate using 4 µL of MRPS26 Polyclonal Antibody (Product # PA5-112180) at a dilution of 1:100, and 60 µg of Immunomagnetic beads Protein A/G. A Goat Anti-Rabbit IgG (H+L)/HRP was used as a secondary antibody at a dilution of 1:10,000. Developed using the ECL technique and performed under reducing conditions. Predicted band size: 24 kDa. Observed band size: 24 kDa.
Supportive validation
- Submitted by
- Invitrogen Antibodies (provider)
- Main image

- Experimental details
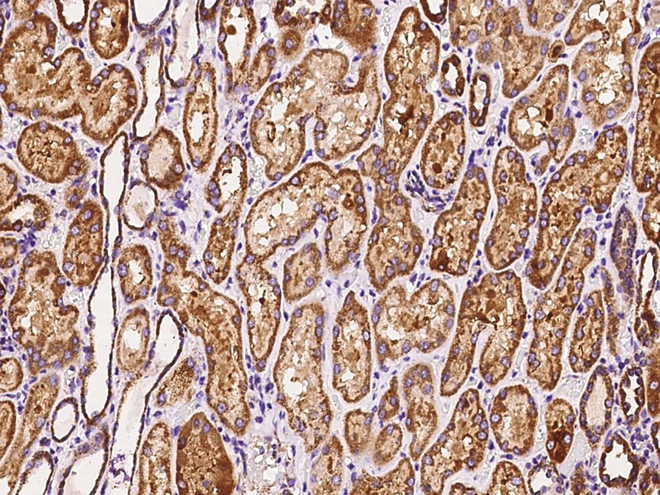
- Immunohistochemistry analysis of MRPS26 in formalin-fixed paraffin embedded sections human kidney tissue sections using MRPS26 Polyclonal Antibody (Product # PA5-112180) at a dilution of 1:200.
- Submitted by
- Invitrogen Antibodies (provider)
- Main image

- Experimental details
- Immunohistochemistry analysis of MRPS26 in formalin-fixed paraffin embedded sections human colon tissue sections using MRPS26 Polyclonal Antibody (Product # PA5-112180) at a dilution of 1:200.
Supportive validation
- Submitted by
- Invitrogen Antibodies (provider)
- Main image

- Experimental details
- Immunoprecipitation of MRPS26 was performed on (Lane A) 0.5 mg HepG2 whole cell lysate using 4 µL of MRPS26 Polyclonal Antibody (Product # PA5-112180) at a dilution of 1:100, and 60 µg of Immunomagnetic beads Protein A/G. A Goat Anti-Rabbit IgG (H+L)/HRP was used as a secondary antibody at a dilution of 1:10,000. Developed using the ECL technique and performed under reducing conditions. Predicted band size: 24 kDa. Observed band size: 24 kDa.