Antibody data
- Antibody Data
- Antigen structure
- References [0]
- Comments [0]
- Validations
- Immunocytochemistry [3]
- Immunohistochemistry [2]
Submit
Validation data
Reference
Comment
Report error
- Product number
- MA5-25056 - Provider product page

- Provider
- Invitrogen Antibodies
- Product name
- KIAA1609 Monoclonal Antibody (OTI5D9)
- Antibody type
- Monoclonal
- Antigen
- Recombinant full-length protein
- Reactivity
- Human
- Host
- Mouse
- Isotype
- IgG
- Antibody clone number
- OTI5D9
- Vial size
- 100 μL
- Concentration
- 0.58 mg/mL
- Storage
- -20°C, Avoid Freeze/Thaw Cycles
No comments: Submit comment
Supportive validation
- Submitted by
- Invitrogen Antibodies (provider)
- Main image

- Experimental details
- Immunofluorescent analysis of KIAA1609 in HepG2 cells. Cells were probed with a KIAA1609 monoclonal antibody (Product # MA5-25056).
- Submitted by
- Invitrogen Antibodies (provider)
- Main image

- Experimental details
- Immunofluorescent analysis of KIAA1609 in HepG2 cells. Cells were probed with a KIAA1609 monoclonal antibody (Product # MA5-25056).
- Submitted by
- Invitrogen Antibodies (provider)
- Main image

- Experimental details
- Immunofluorescent analysis of KIAA1609 in HepG2 cells. Cells were probed with a KIAA1609 monoclonal antibody (Product # MA5-25056).
Supportive validation
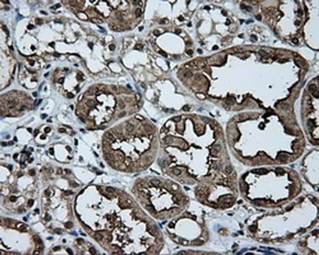
- Submitted by
- Invitrogen Antibodies (provider)
- Main image

- Experimental details
- Immunohistochemistry was performed on paraffin-embedded kidney tissue. To expose target proteins, 10mM citric buffer, pH6.0, 100°C for 10min was used. Following antigen retrieval, tissues were probed with a KIAA1609 monoclonal antibody (Product # MA5-25056) at a dilution of 1:50.
- Submitted by
- Invitrogen Antibodies (provider)
- Main image

- Experimental details
- Immunohistochemistry was performed on paraffin-embedded liver tissue. To expose target proteins, 10mM citric buffer, pH6.0, 100°C for 10min was used. Following antigen retrieval, tissues were probed with a KIAA1609 monoclonal antibody (Product # MA5-25056) at a dilution of 1:50.