Antibody data
- Antibody Data
- Antigen structure
- References [0]
- Comments [0]
- Validations
- Immunohistochemistry [4]
Submit
Validation data
Reference
Comment
Report error
- Product number
- NBP1-87514 - Provider product page

- Provider
- Novus Biologicals
- Proper citation
- Novus Cat#NBP1-87514, RRID:AB_11037412
- Product name
- Rabbit Polyclonal villin-like Antibody
- Antibody type
- Polyclonal
- Description
- Immunogen affinity purified. Specificity of human villin-like antibody verified on a Protein Array containing target protein plus 383 other non-specific proteins.
- Reactivity
- Human
- Host
- Rabbit
- Isotype
- IgG
- Vial size
- 0.1 ml
- Storage
- Store at 4C short term. Aliquot and store at -20C long term. Avoid freeze-thaw cycles.
No comments: Submit comment
Supportive validation
- Submitted by
- Novus Biologicals (provider)
- Main image

- Experimental details
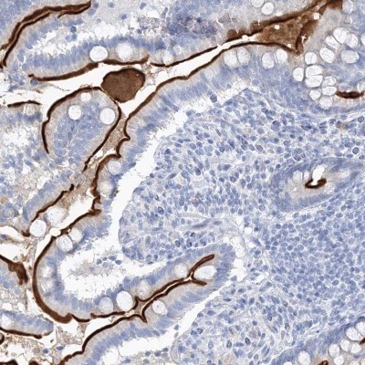
- Immunohistochemistry: villin-like Antibody [NBP1-87514] - Staining of human colon shows strong luminal membrane positivity in glandular cells.
- Submitted by
- Novus Biologicals (provider)
- Main image

- Experimental details
- Immunohistochemistry-Paraffin: villin-like Antibody [NBP1-87514] - Staining of human liver shows low expression as expected.
- Submitted by
- Novus Biologicals (provider)
- Main image

- Experimental details
- Immunohistochemistry-Paraffin: villin-like Antibody [NBP1-87514] - Staining in human small intestine and liver tissues using anti-VILL antibody. Corresponding VILL RNA-seq data are presented for the same tissues.
- Submitted by
- Novus Biologicals (provider)
- Main image

- Experimental details
- Immunohistochemistry-Paraffin: villin-like Antibody [NBP1-87514] - Staining of human small intestine shows high expression.