Antibody data
- Antibody Data
- Antigen structure
- References [0]
- Comments [0]
- Validations
- Immunocytochemistry [1]
- Immunohistochemistry [4]
Submit
Validation data
Reference
Comment
Report error
- Product number
- PA5-58477 - Provider product page

- Provider
- Invitrogen Antibodies
- Product name
- SPATS2 Polyclonal Antibody
- Antibody type
- Polyclonal
- Antigen
- Recombinant protein fragment
- Description
- Immunogen sequence: SKSVSIQEEQ SAPSSEKGGM NGYHVNGAIN DTESVDSLSE GLETLSIDAR ELEDPESAML DTLDRTGSML QNGVSDFETK SLTMHSIHNS QQPRNAAKSL SRPTTETQ Highest antigen sequence identity to the following orthologs: Mouse - 80%, Rat - 78%.
- Reactivity
- Human
- Host
- Rabbit
- Isotype
- IgG
- Vial size
- 100 μL
- Concentration
- 0.10 mg/mL
- Storage
- Store at 4°C short term. For long term storage, store at -20°C, avoiding freeze/thaw cycles.
No comments: Submit comment
Supportive validation
- Submitted by
- Invitrogen Antibodies (provider)
- Main image

- Experimental details
- Immunofluorecent analysis of SPATS2 in human cell line U-2 OS using SPATS2 Polyclonal Antibody (Product # PA5-58477). Staining shows positivity in cytoplasm.
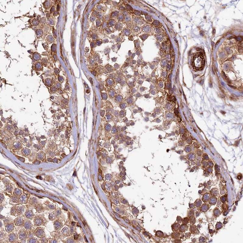
Supportive validation
- Submitted by
- Invitrogen Antibodies (provider)
- Main image

- Experimental details
- Immunohistochemical analysis of SPATS2 in human Testis using SPATS2 Polyclonal Antibody (Product # PA5-58477) shows strong cytoplasmic positivity in cells in seminiferous ducts.
- Submitted by
- Invitrogen Antibodies (provider)
- Main image

- Experimental details
- Immunohistochemical analysis of SPATS2 in human Kidney using SPATS2 Polyclonal Antibody (Product # PA5-58477) shows moderate cytoplasmic positivity in cells in tubules.
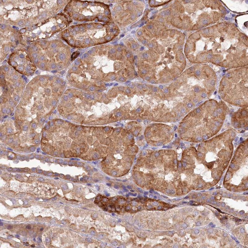
- Submitted by
- Invitrogen Antibodies (provider)
- Main image

- Experimental details
- Immunohistochemical analysis of SPATS2 in human Tonsil using SPATS2 Polyclonal Antibody (Product # PA5-58477) shows strong cytoplasmic and membranous positivity in germinal and non-germinal center cells.
- Submitted by
- Invitrogen Antibodies (provider)
- Main image

- Experimental details
- Immunohistochemical analysis of SPATS2 in human Liver using SPATS2 Polyclonal Antibody (Product # PA5-58477) shows very weak cytoplasmic positivity in hepatocytes.