Antibody data
- Antibody Data
- Antigen structure
- References [0]
- Comments [0]
- Validations
- Immunohistochemistry [5]
Submit
Validation data
Reference
Comment
Report error
- Product number
- NBP1-93983 - Provider product page

- Provider
- Novus Biologicals
- Proper citation
- Novus Cat#NBP1-93983, RRID:AB_11033380
- Product name
- Rabbit Polyclonal Torsin-4A Antibody
- Antibody type
- Polyclonal
- Description
- Immunogen affinity purified. Specificity of human C9orf167 antibody verified on a Protein Array containing target protein plus 383 other non-specific proteins.
- Reactivity
- Human
- Host
- Rabbit
- Isotype
- IgG
- Vial size
- 0.1 ml
- Storage
- Store at 4C short term. Aliquot and store at -20C long term. Avoid freeze-thaw cycles.
No comments: Submit comment
Supportive validation
- Submitted by
- Novus Biologicals (provider)
- Main image

- Experimental details
- Immunohistochemistry-Paraffin: C9orf167 Antibody [NBP1-93983] - Staining of human stomach, upper shows moderate cytoplasmic positivity in glandular cells.
- Submitted by
- Novus Biologicals (provider)
- Main image

- Experimental details
- Immunohistochemistry-Paraffin: C9orf167 Antibody [NBP1-93983] - Staining of human cerebral cortex shows moderate granular cytoplasmic positivity in neurons.
- Submitted by
- Novus Biologicals (provider)
- Main image

- Experimental details
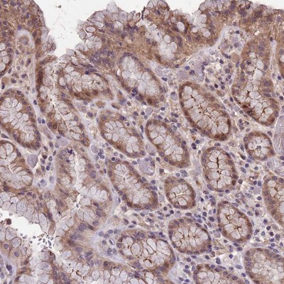
- Immunohistochemistry-Paraffin: C9orf167 Antibody [NBP1-93983] - Staining of human duodenum shows strong granular cytoplasmic positivity in glandular cells.
- Submitted by
- Novus Biologicals (provider)
- Main image

- Experimental details
- Immunohistochemistry-Paraffin: C9orf167 Antibody [NBP1-93983] - Staining of human lung shows moderate cytoplasmic positivity in pneumocytes and macrophages.
- Submitted by
- Novus Biologicals (provider)
- Main image

- Experimental details
- Immunohistochemistry-Paraffin: C9orf167 Antibody [NBP1-93983] - Staining of human spleen shows moderate cytoplasmic positivity in cells in red pulp.