Antibody data
- Antibody Data
- Antigen structure
- References [4]
- Comments [0]
- Validations
- Western blot [2]
- Immunohistochemistry [6]
Submit
Validation data
Reference
Comment
Report error
- Product number
- NBP1-91706 - Provider product page

- Provider
- Novus Biologicals
- Proper citation
- Novus Cat#NBP1-91706, RRID:AB_11035008
- Product name
- Rabbit Polyclonal BRP44L Antibody
- Antibody type
- Polyclonal
- Description
- Immunogen affinity purified. Specificity of human BRP44L antibody verified on a Protein Array containing target protein plus 383 other non-specific proteins.
- Reactivity
- Human, Mouse
- Host
- Rabbit
- Isotype
- IgG
- Vial size
- 0.1 ml
- Storage
- Store at 4C short term. Aliquot and store at -20C long term. Avoid freeze-thaw cycles.
Submitted references Wild-Type p53 Promotes Cancer Metabolic Switch by Inducing PUMA-Dependent Suppression of Oxidative Phosphorylation.
Mitochondrial pyruvate carrier function determines cell stemness and metabolic reprogramming in cancer cells.
MPC1 and MPC2 expressions are associated with favorable clinical outcomes in prostate cancer.
3-BrPA eliminates human bladder cancer cells with highly oncogenic signatures via engagement of specific death programs and perturbation of multiple signaling and metabolic determinants.
Kim J, Yu L, Chen W, Xu Y, Wu M, Todorova D, Tang Q, Feng B, Jiang L, He J, Chen G, Fu X, Xu Y
Cancer cell 2019 Feb 11;35(2):191-203.e8
Cancer cell 2019 Feb 11;35(2):191-203.e8
Mitochondrial pyruvate carrier function determines cell stemness and metabolic reprogramming in cancer cells.
Li X, Han G, Li X, Kan Q, Fan Z, Li Y, Ji Y, Zhao J, Zhang M, Grigalavicius M, Berge V, Goscinski MA, Nesland JM, Suo Z
Oncotarget 2017 Jul 11;8(28):46363-46380
Oncotarget 2017 Jul 11;8(28):46363-46380
MPC1 and MPC2 expressions are associated with favorable clinical outcomes in prostate cancer.
Li X, Ji Y, Han G, Li X, Fan Z, Li Y, Zhong Y, Cao J, Zhao J, Zhang M, Wen J, Goscinski MA, Nesland JM, Suo Z
BMC cancer 2016 Nov 16;16(1):894
BMC cancer 2016 Nov 16;16(1):894
3-BrPA eliminates human bladder cancer cells with highly oncogenic signatures via engagement of specific death programs and perturbation of multiple signaling and metabolic determinants.
Konstantakou EG, Voutsinas GE, Velentzas AD, Basogianni AS, Paronis E, Balafas E, Kostomitsopoulos N, Syrigos KN, Anastasiadou E, Stravopodis DJ
Molecular cancer 2015 Jul 22;14:135
Molecular cancer 2015 Jul 22;14:135
No comments: Submit comment
Supportive validation
- Submitted by
- Novus Biologicals (provider)
- Main image

- Experimental details
- Western Blot: BRP44L Antibody [NBP1-91706] - Lane 1: Marker [kDa] 250, 130, 95, 72, 55, 36, 28, 17, 10. Lane 2: Human cell line RT-4. Lane 3: Human cell line U-251MG sp. Lane 4: Human plasma (IgG/HSA depleted). Lane 5: Human liver tissue
- Submitted by
- Novus Biologicals (provider)
- Main image

- Experimental details
- Western Blot: BRP44L Antibody [NBP1-91706] - Analysis in human cell lines HEK293 and A-549 using anti-MPC1 antibody. Corresponding MPC1 RNA-seq data are presented for the same cell lines. Loading control: anti-COX4I1.
Supportive validation
- Submitted by
- Novus Biologicals (provider)
- Main image

- Experimental details
- Immunohistochemistry-Paraffin: BRP44L Antibody [NBP1-91706] - Staining in human heart muscle and pancreas tissues.. Corresponding MPC1 RNA-seq data are presented for the same tissues.
- Submitted by
- Novus Biologicals (provider)
- Main image

- Experimental details
- Immunohistochemistry-Paraffin: BRP44L Antibody [NBP1-91706] - Staining of human kidney shows moderate to strong positivity in mitochondria in cells in tubules.
- Submitted by
- Novus Biologicals (provider)
- Main image

- Experimental details
- Immunohistochemistry-Paraffin: BRP44L Antibody [NBP1-91706] - Staining of human salivary gland shows strong positivity in mitochondria in ductal cells.
- Submitted by
- Novus Biologicals (provider)
- Main image

- Experimental details
- Immunohistochemistry-Paraffin: BRP44L Antibody [NBP1-91706] - Staining of human pancreas shows weak positivity in exocrine glandular cells as expected.
- Submitted by
- Novus Biologicals (provider)
- Main image

- Experimental details
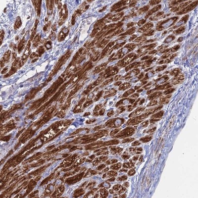
- Immunohistochemistry-Paraffin: BRP44L Antibody [NBP1-91706] - Staining of human heart muscle shows strong positivity in mitochondria in cardiomyocytes.
- Submitted by
- Novus Biologicals (provider)
- Main image

- Experimental details
- Immunohistochemistry-Paraffin: BRP44L Antibody [NBP1-91706] - Staining of human duodenum shows strong positivity in mitochondria in glandular cells.