Antibody data
- Antibody Data
- Antigen structure
- References [0]
- Comments [0]
- Validations
- Immunohistochemistry [2]
Submit
Validation data
Reference
Comment
Report error
- Product number
- LS-C403022 - Provider product page

- Provider
- LSBio
- Product name
- KIAA0833 / CAMTA1 Antibody LS-C403022
- Antibody type
- Polyclonal
- Description
- Affinity purification
- Reactivity
- Human, Mouse
- Host
- Rabbit
- Isotype
- IgG
- Storage
- Store at -20°C. Avoid freeze-thaw cycles.
No comments: Submit comment
Supportive validation
- Submitted by
- LSBio (provider)
- Main image

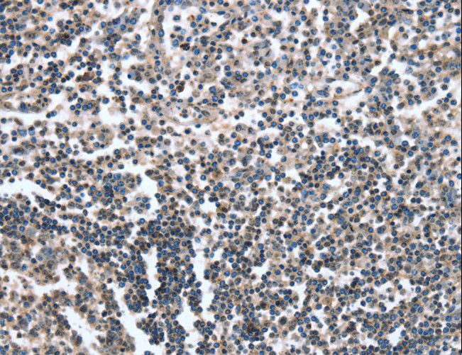
- Experimental details
- Immunohistochemistry of paraffin-embedded Human tonsil using CAMTA1 Polyclonal Antibody at dilution of 1:15.
- Submitted by
- LSBio (provider)
- Main image

- Experimental details
- Immunohistochemistry of paraffin-embedded Human tonsil using CAMTA1 Polyclonal Antibody at dilution of 1:15.