Antibody data
- Antibody Data
- Antigen structure
- References [0]
- Comments [0]
- Validations
- Western blot [3]
- Immunohistochemistry [5]
Submit
Validation data
Reference
Comment
Report error
- Product number
- NBP1-92257 - Provider product page

- Provider
- Novus Biologicals
- Proper citation
- Novus Cat#NBP1-92257, RRID:AB_11016543
- Product name
- Rabbit Polyclonal PGAM5 Antibody
- Antibody type
- Polyclonal
- Description
- Immunogen affinity purified. Specificity of human PGAM5 antibody verified on a Protein Array containing target protein plus 383 other non-specific proteins.
- Reactivity
- Human
- Host
- Rabbit
- Isotype
- IgG
- Vial size
- 0.1 ml
- Storage
- Store at 4C short term. Aliquot and store at -20C long term. Avoid freeze-thaw cycles.
No comments: Submit comment
Supportive validation
- Submitted by
- Novus Biologicals (provider)
- Main image

- Experimental details
- Simple Western: PGAM5 Antibody [NBP1-92257] - Simple Western lane view shows a specific band for PGAM5 in 0.2 mg/ml of RT-4 lysate. This experiment was performed under reducing conditions using the 12-230 kDa separation system.
- Submitted by
- Novus Biologicals (provider)
- Main image

- Experimental details
- Simple Western: PGAM5 Antibody [NBP1-92257] - Electropherogram image(s) of corresponding Simple Western lane view. PGAM5 antibody was used at 1:60 dilution on RT-4 lysate(s).
- Submitted by
- Novus Biologicals (provider)
- Main image

- Experimental details
- Western Blot: PGAM5 Antibody [NBP1-92257] - Analysis in RT-4 cells transfected with control siRNA, target specific siRNA probe #1 and #2. Remaining relative intensity is presented. Loading control: Anti-PPIB.
Supportive validation
- Submitted by
- Novus Biologicals (provider)
- Main image

- Experimental details
- Immunohistochemistry-Paraffin: PGAM5 Antibody [NBP1-92257] - Staining of human colon, liver, testis and tonsil using Anti-PGAM5 antibody NBP1-92257 (A) shows similar protein distribution across tissues to independent antibody NBP1-92258 (B).
- Submitted by
- Novus Biologicals (provider)
- Main image

- Experimental details
- Immunohistochemistry-Paraffin: PGAM5 Antibody [NBP1-92257] - Staining of human liver shows moderate granular cytoplasmic positivity in hepatocytes.
- Submitted by
- Novus Biologicals (provider)
- Main image

- Experimental details
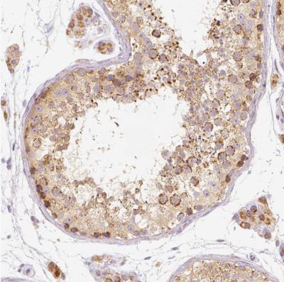
- Immunohistochemistry-Paraffin: PGAM5 Antibody [NBP1-92257] - Staining of human testis shows moderate granular cytoplasmic positivity in cells in seminiferous ducts.
- Submitted by
- Novus Biologicals (provider)
- Main image

- Experimental details
- Immunohistochemistry-Paraffin: PGAM5 Antibody [NBP1-92257] - Staining of human tonsil shows moderate granular cytoplasmic positivity in germinal center cells
- Submitted by
- Novus Biologicals (provider)
- Main image

- Experimental details
- Immunohistochemistry-Paraffin: PGAM5 Antibody [NBP1-92257] - Staining of human colon shows moderate granular cytoplasmic positivity in glandular cells.