Antibody data
- Antibody Data
- Antigen structure
- References [0]
- Comments [0]
- Validations
- Western blot [1]
- Immunohistochemistry [1]
Submit
Validation data
Reference
Comment
Report error
- Product number
- ABIN953233 - Provider product page

- Provider
- antibodies-online
- Product name
- anti-Protein Phosphatase 1, Regulatory Subunit 37 (PPP1R37) (N-Term), (AA 43-71) antibody
- Antibody type
- Polyclonal
- Antigen
- KLH conjugated synthetic peptide between 43-71 amino acids from the N-terminal region of human LRRC68
- Description
- Protein A column, followed by peptide affinity purification
- Reactivity
- Human, Mouse
- Host
- Rabbit
- Epitope
- N-Term,AA 43-71
- Vial size
- 0.4 mL
- Concentration
- 0.25 mg/mL
- Storage
- Store undiluted at 2-8°C for one month or (in aliquots) at -20°C for longer.
- Handling
- Avoid repeated freezing and thawing.
No comments: Submit comment
Supportive validation
- Submitted by
- antibodies-online (provider)
- Main image

- Experimental details
- WB
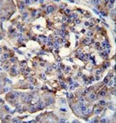
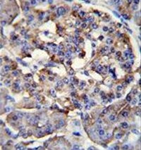
Supportive validation
- Submitted by
- antibodies-online (provider)
- Main image

- Experimental details
- IHC