Antibody data
- Antibody Data
- Antigen structure
- References [0]
- Comments [0]
- Validations
- Western blot [1]
- Immunohistochemistry [1]
Submit
Validation data
Reference
Comment
Report error
- Product number
- LS-B7939 - Provider product page

- Provider
- LSBio
- Product name
- IHC-plus™ FUZ / FY Antibody (aa338-355) LS-B7939
- Antibody type
- Polyclonal
- Description
- Protein G purified
- Reactivity
- Human, Mouse, Rat
- Host
- Rabbit
- Isotype
- IgG
- Storage
- Store at 4°C for short term applications. For long term storage, aliquot and store at -20°C.
No comments: Submit comment
Enhanced validation
- Submitted by
- LSBio (provider)
- Enhanced method
- Genetic validation
- Main image

- Experimental details
- Western blot of FUZ in human lung lysate in the 1) absence and 2) presence of immunizing peptide, 3) mouse lung and 4) rat lung using FUZ / FY Antibody at 2.0 ug/ml, 2.0 ug/ml and 6.0 ug/ml respectively.
Supportive validation
- Submitted by
- LSBio (provider)
- Enhanced method
- Genetic validation
- Main image

- Experimental details
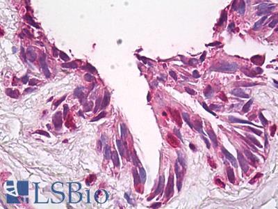
- Anti-FUZ / FY antibody IHC of human lung. Immunohistochemistry of formalin-fixed, paraffin-embedded tissue after heat-induced antigen retrieval. Antibody dilution 15 ug/ml.