Antibody data
- Antibody Data
- Antigen structure
- References [0]
- Comments [0]
- Validations
- Immunocytochemistry [2]
- Immunohistochemistry [4]
Submit
Validation data
Reference
Comment
Report error
- Product number
- PA5-59724 - Provider product page

- Provider
- Invitrogen Antibodies
- Product name
- FUZ Polyclonal Antibody
- Antibody type
- Polyclonal
- Antigen
- Recombinant protein fragment
- Description
- Immunogen sequence: LLRNFYTLVT STHFPPEPGP PEKTEDEVYQ AQLPRACYLV LGTEEPGTGV RLVALQLGLR RLLLLLSPQS PTHGLRSLAT HTLHALTP Highest antigen sequence identity to the following orthologs: Mouse - 78%, Rat - 78%.
- Reactivity
- Human
- Host
- Rabbit
- Isotype
- IgG
- Vial size
- 100 μL
- Concentration
- 0.1 mg/mL
- Storage
- Store at 4°C short term. For long term storage, store at -20°C, avoiding freeze/thaw cycles.
No comments: Submit comment
Supportive validation
- Submitted by
- Invitrogen Antibodies (provider)
- Main image

- Experimental details
- Immunofluorescent staining of FUZ in human cell line HEK 293 shows positivity in cytoplasm. Samples were probed using a FUZ Polyclonal Antibody (Product # PA5-59724).
- Submitted by
- Invitrogen Antibodies (provider)
- Main image

- Experimental details
- Immunofluorecent analysis of FUZ in human cell line HEK 293 using FUZ Polyclonal Antibody (Product # PA5-59724). Staining shows localization to cytosol.
Supportive validation
- Submitted by
- Invitrogen Antibodies (provider)
- Main image

- Experimental details
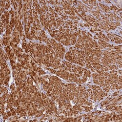
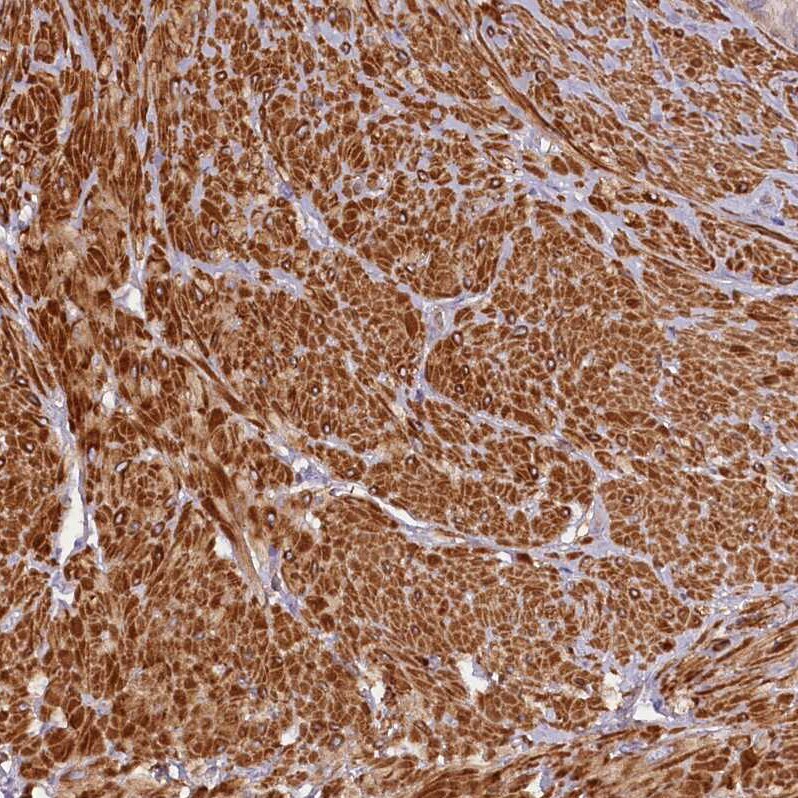
- Immunohistochemical analysis of FUZ in human prostate using FUZ Polyclonal Antibody (Product # PA5-59724) shows strong cytoplasmic positivity in smooth muscle cells.
- Submitted by
- Invitrogen Antibodies (provider)
- Main image

- Experimental details
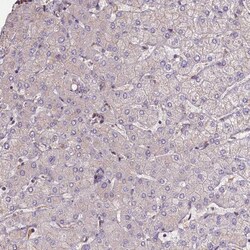
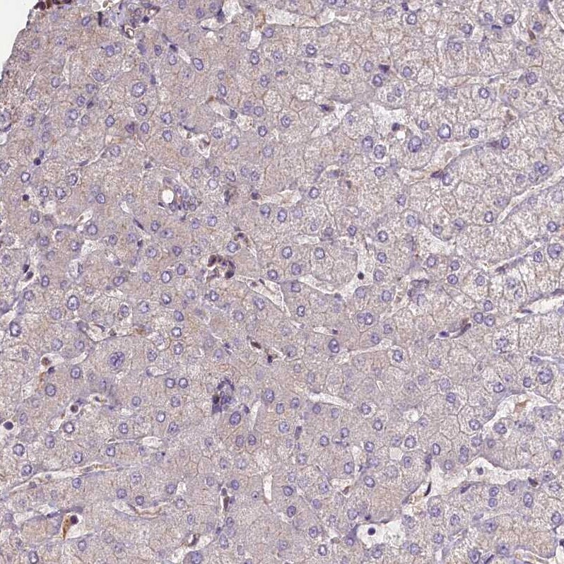
- Immunohistochemical analysis of FUZ in human liver using FUZ Polyclonal Antibody (Product # PA5-59724) shows no positivity in hepatocytes as expected.
- Submitted by
- Invitrogen Antibodies (provider)
- Main image

- Experimental details
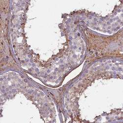
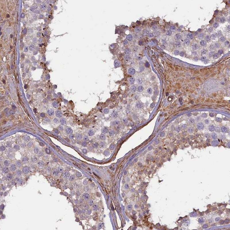
- Immunohistochemical staining of FUZ in human testis using a FUZ Polyclonal Antibody (Product # PA5-59724) shows strong cytoplasmic positivity in cells in seminiferous ducts and in Leydig cells.
- Submitted by
- Invitrogen Antibodies (provider)
- Main image

- Experimental details
- Immunohistochemical analysis of FUZ in human skeletal muscle using FUZ Polyclonal Antibody (Product # PA5-59724) shows strong cytoplasmic positivity in myocytes.