Antibody data
- Antibody Data
- Antigen structure
- References [0]
- Comments [0]
- Validations
- Immunohistochemistry [2]
Submit
Validation data
Reference
Comment
Report error
- Product number
- PA5-112995 - Provider product page

- Provider
- Invitrogen Antibodies
- Product name
- CWF19L1 Polyclonal Antibody
- Antibody type
- Polyclonal
- Antigen
- Recombinant full-length protein
- Reactivity
- Human
- Host
- Rabbit
- Isotype
- IgG
- Vial size
- 100 μg
- Concentration
- 2 mg/mL
- Storage
- -20°C or -80°C if preferred
No comments: Submit comment
Supportive validation
- Submitted by
- Invitrogen Antibodies (provider)
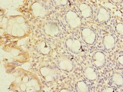
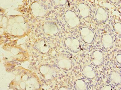
- Main image

- Experimental details
- Immunocytochemical analysis of paraffin-embeded CWF19L1 in human colon tissue using a CWF19L1 Polyclonal antibody (Product # PA5-112995) at a dilution of 1:100.
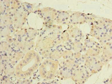
- Submitted by
- Invitrogen Antibodies (provider)
- Main image

- Experimental details
- Immunocytochemical analysis of paraffin-embeded CWF19L1 in human pancreatic tissue using a CWF19L1 Polyclonal antibody (Product # PA5-112995) at a dilution of 1:100.