Antibody data
- Antibody Data
- Antigen structure
- References [0]
- Comments [0]
- Validations
- Immunocytochemistry [3]
- Immunohistochemistry [1]
Submit
Validation data
Reference
Comment
Report error
- Product number
- PA5-59365 - Provider product page

- Provider
- Invitrogen Antibodies
- Product name
- KIAA1328 Polyclonal Antibody
- Antibody type
- Polyclonal
- Antigen
- Recombinant protein fragment
- Description
- Immunogen sequence: QEELHMKECP HLKPTPSQCC GHRLAADRVH DSHPTNMTPQ HPKTHPESCS YCRLSWASLV HGGGALQPIE TLKKQISEDR KQQLMLQKME LE Highest antigen sequence identity to the following orthologs: Mouse - 61%, Rat - 63%.
- Reactivity
- Human
- Host
- Rabbit
- Isotype
- IgG
- Vial size
- 100 μL
- Concentration
- 0.3 mg/mL
- Storage
- Store at 4°C short term. For long term storage, store at -20°C, avoiding freeze/thaw cycles.
No comments: Submit comment
Supportive validation
- Submitted by
- Invitrogen Antibodies (provider)
- Main image

- Experimental details
- Immunofluorescent staining of KIAA1328 in human cell line A-431 shows positivity in vesicles & nucleus but excluded from the nucleoli. Samples were probed using a KIAA1328 Polyclonal Antibody (Product # PA5-59365).
- Submitted by
- Invitrogen Antibodies (provider)
- Main image

- Experimental details
- Immunofluorescent staining of KIAA1328 in human cell line U-251 MG using a KIAA1328 Polyclonal Antibody (Product # PA5-59365) shows localization to nuclear speckles and lipid droplets.
- Submitted by
- Invitrogen Antibodies (provider)
- Main image

- Experimental details
- Immunofluorescent staining of KIAA1328 in human cell line U-251 MG using a KIAA1328 Polyclonal Antibody (Product # PA5-59365) shows localization to nuclear speckles and lipid droplets.
Supportive validation
- Submitted by
- Invitrogen Antibodies (provider)
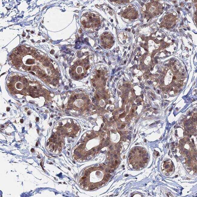
- Main image

- Experimental details
- Immunohistochemical analysis of KIAA1328 in human breast using KIAA1328 Polyclonal Antibody (Product # PA5-59365) shows moderate cytoplasmic and nuclear positivity in glandular cells.