Antibody data
- Antibody Data
- Antigen structure
- References [0]
- Comments [0]
- Validations
- Immunocytochemistry [1]
- Immunohistochemistry [4]
Submit
Validation data
Reference
Comment
Report error
- Product number
- PA5-58953 - Provider product page

- Provider
- Invitrogen Antibodies
- Product name
- FAM149B1 Polyclonal Antibody
- Antibody type
- Polyclonal
- Antigen
- Recombinant protein fragment
- Description
- Immunogen sequence: DDKLLMRPGS STILSTRNWP NRAVEFSTSS LSYTVQSTRR RNPPPRTLHP ISTSHSCAET PRSVEEILRG ARVPVAPDSL SSPSP Highest antigen sequence identity to the following orthologs: Mouse - 81%, Rat - 79%.
- Reactivity
- Human
- Host
- Rabbit
- Isotype
- IgG
- Vial size
- 100 μL
- Concentration
- 0.1 mg/mL
- Storage
- Store at 4°C short term. For long term storage, store at -20°C, avoiding freeze/thaw cycles.
No comments: Submit comment
Supportive validation
- Submitted by
- Invitrogen Antibodies (provider)
- Main image

- Experimental details
- Immunofluorescent staining of FAM149B1 in human cell line PC-3 using a FAM149B1 Polyclonal Antibody (Product # PA5-58953) shows localization to nucleoplasm.
Supportive validation
- Submitted by
- Invitrogen Antibodies (provider)
- Main image

- Experimental details
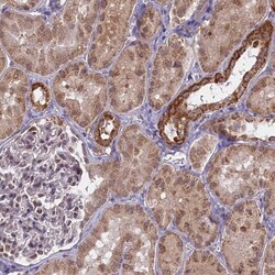
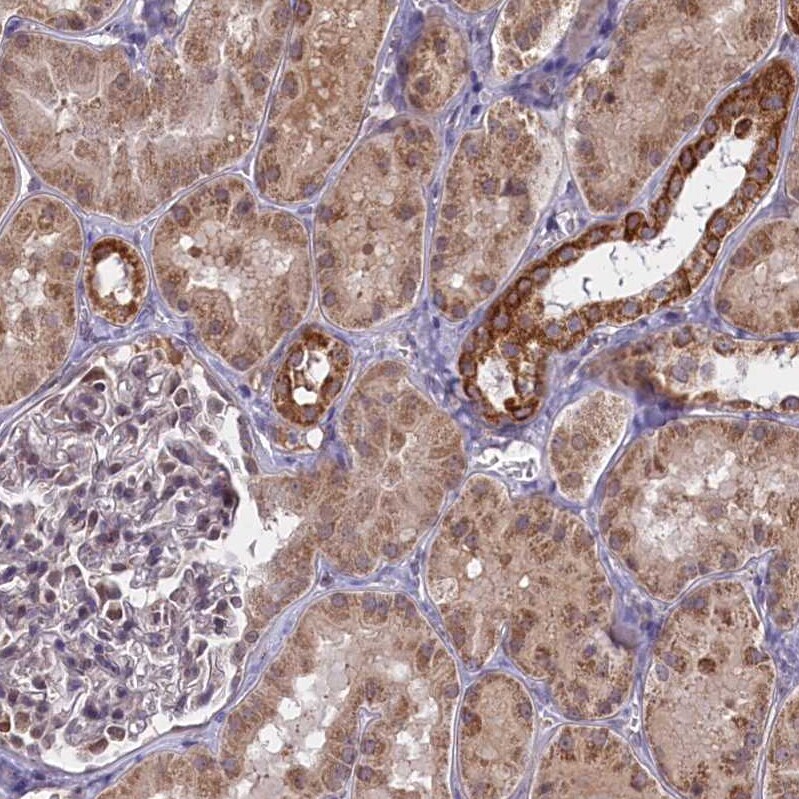
- Immunohistochemical analysis of FAM149B1 in human kidney using FAM149B1 Polyclonal Antibody (Product # PA5-58953) shows moderate cytoplasmic positivity in cells in tubules.
- Submitted by
- Invitrogen Antibodies (provider)
- Main image

- Experimental details
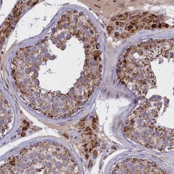
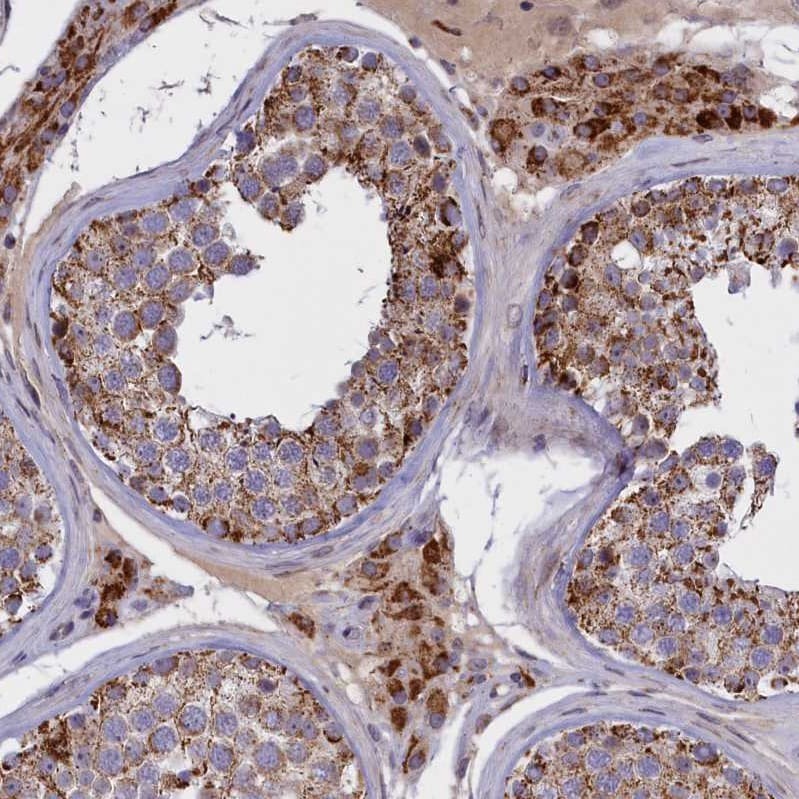
- Immunohistochemical analysis of FAM149B1 in human testis using FAM149B1 Polyclonal Antibody (Product # PA5-58953) shows strong cytoplasmic positivity in Leydig cells and seminiferous duct cells.
- Submitted by
- Invitrogen Antibodies (provider)
- Main image

- Experimental details
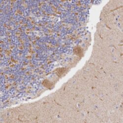
- Immunohistochemical analysis of FAM149B1 in human cerebellum using FAM149B1 Polyclonal Antibody (Product # PA5-58953) shows moderate cytoplasmic positivity in Purkinje cells.
- Submitted by
- Invitrogen Antibodies (provider)
- Main image

- Experimental details
- Immunohistochemical analysis of FAM149B1 in human Colon using FAM149B1 Polyclonal Antibody (Product # PA5-58953) shows strong cytoplasmic positivity in glandular cells.