Antibody data
- Antibody Data
- Antigen structure
- References [0]
- Comments [0]
- Validations
- Western blot [1]
- Immunohistochemistry [1]
Submit
Validation data
Reference
Comment
Report error
- Product number
- AP51536PU-N - Provider product page

- Provider
- Acris Antibodies GmbH
- Proper citation
- Acris Antibodies GmbH Cat#AP51536PU-N, RRID:AB_11145924
- Product name
- anti FAM149B1 (N-term)
- Antibody type
- Polyclonal
- Antigen
- KLH conjugated synthetic peptide between 87-116 amino acids from the N-terminal region of human FAM149B1
- Reactivity
- Human
- Host
- Rabbit
- Vial size
- 0.1 mg
- Concentration
- 0.25 mg/ml
No comments: Submit comment
Supportive validation
- Submitted by
- Acris Antibodies GmbH (provider)
- Main image

- Experimental details
- Western blot analysis of FAM149B1 Antibody (N-term) Cat.-No AP51536PU-N in A549,HL-60 cell line lysates (35ug/lane). This demonstrates the FAM149B1 antibody detected the FAM149B1 protein (arrow).
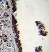
Supportive validation
- Submitted by
- Acris Antibodies GmbH (provider)
- Main image

- Experimental details
- Formalin fixed and paraffin embedded human lung tissue reacted with FAM149B1 Antibody (N-term) Cat.-No AP51536PU-N followed by peroxidase conjugation of the secondary antibody and DAB staining.