Antibody data
- Antibody Data
- Antigen structure
- References [0]
- Comments [0]
- Validations
- Western blot [1]
- Immunohistochemistry [3]
Submit
Validation data
Reference
Comment
Report error
- Product number
- NBP2-49234 - Provider product page

- Provider
- Novus Biologicals
- Product name
- Rabbit Polyclonal STRN4 Antibody
- Antibody type
- Polyclonal
- Description
- Immunogen affinity purified. Specificity of human STRN4 antibody verified on a Protein Array containing target protein plus 383 other non-specific proteins.
- Reactivity
- Human
- Host
- Rabbit
- Isotype
- IgG
- Vial size
- 0.1 ml
- Storage
- Store at 4C short term. Aliquot and store at -20C long term. Avoid freeze-thaw cycles.
No comments: Submit comment
Supportive validation
- Submitted by
- Novus Biologicals (provider)
- Main image

- Experimental details
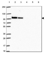
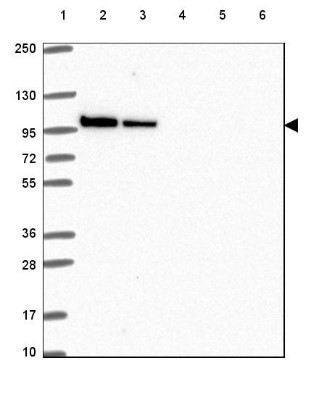
- Western Blot: STRN4 Antibody [NBP2-49234] - Lane 1: Marker [kDa] 250, 130, 95, 72, 55, 36, 28, 17, 10Lane 2: Human cell line RT-4Lane 3: Human cell line U-251 MGLane 4: Human plasmaLane 5: Human Liver tissueLane 6: Human Tonsil tissue
Supportive validation
- Submitted by
- Novus Biologicals (provider)
- Main image

- Experimental details
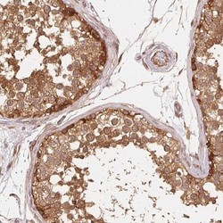
- Immunohistochemistry: STRN4 Antibody [NBP2-49234] - Staining of human testis shows cytoplasmic positivity in testis.
- Submitted by
- Novus Biologicals (provider)
- Main image

- Experimental details
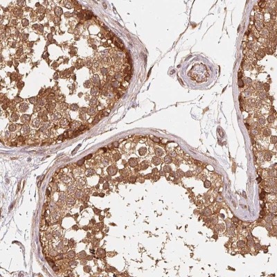
- Immunohistochemistry-Paraffin: STRN4 Antibody [NBP2-49234] - Staining in human testis and skeletal muscle tissues using anti-STRN4 antibody. Corresponding STRN4 RNA-seq data are presented for the same tissues.
- Submitted by
- Novus Biologicals (provider)
- Main image

- Experimental details
- Immunohistochemistry-Paraffin: STRN4 Antibody [NBP2-49234] - Staining of human skeletal muscle shows low expression as expected.