Antibody data
- Antibody Data
- Antigen structure
- References [1]
- Comments [0]
- Validations
- Immunohistochemistry [3]
Submit
Validation data
Reference
Comment
Report error
- Product number
- PA5-63343 - Provider product page

- Provider
- Invitrogen Antibodies
- Product name
- STRN4 Polyclonal Antibody
- Antibody type
- Polyclonal
- Antigen
- Recombinant full-length protein
- Description
- Immunogen sequence: GLSGGESLLV KQIEEQIKRN AAGKDGKERL GGSVLGQIPF LQNCEDEDSD EDDELDSVQH KKQRVKLPSK ALVPEMEDE Highest antigen sequence identity to the following orthologs: Mouse - 97%, Rat - 97%.
- Reactivity
- Human
- Host
- Rabbit
- Isotype
- IgG
- Vial size
- 100 μL
- Concentration
- 0.2 mg/mL
- Storage
- Store at 4°C short term. For long term storage, store at -20°C, avoiding freeze/thaw cycles.
Submitted references Cryo-EM structure of the Hippo signaling integrator human STRIPAK.
Jeong BC, Bae SJ, Ni L, Zhang X, Bai XC, Luo X
Nature structural & molecular biology 2021 Mar;28(3):290-299
Nature structural & molecular biology 2021 Mar;28(3):290-299
No comments: Submit comment
Supportive validation
- Submitted by
- Invitrogen Antibodies (provider)
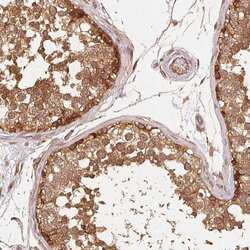
- Main image

- Experimental details
- Immunohistochemical analysis of STRN4 in human testis using STRN4 Polyclonal Antibody (Product # PA5-63343) shows high expression.
- Submitted by
- Invitrogen Antibodies (provider)
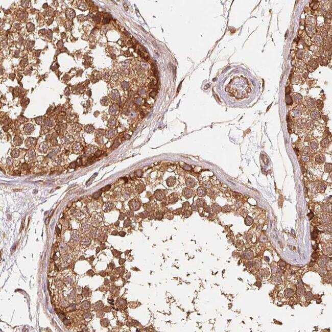
- Main image

- Experimental details
- Immunohistochemical staining of STRN4 in human skeletal muscle using STRN4 Polyclonal Antibody (Product # PA5-63343) shows low expression as expected.
- Submitted by
- Invitrogen Antibodies (provider)
- Main image

- Experimental details
- Immunohistochemical staining of STRN4 in human testis and skeletal muscle tissues using STRN4 Polyclonal Antibody (Product # PA5-63343). Corresponding STRN4 RNA-seq data are presented for the same tissues.