Antibody data
- Antibody Data
- Antigen structure
- References [0]
- Comments [0]
- Validations
- Western blot [1]
- Immunohistochemistry [6]
Submit
Validation data
Reference
Comment
Report error
- Product number
- OSS00253W-100UL - Provider product page

- Provider
- Invitrogen Antibodies
- Product name
- Striatin 4 Polyclonal Antibody
- Antibody type
- Polyclonal
- Antigen
- Synthetic peptide
- Reactivity
- Human, Mouse, Rat
- Host
- Rabbit
- Vial size
- 100 µL
- Concentration
- Conc. Not Determined
- Storage
- Store at 4°C short term. For long term storage, store at -20°C, avoiding freeze/thaw cycles. Glycerol (1:1) may be added for added stability.
No comments: Submit comment
Supportive validation
- Submitted by
- Invitrogen Antibodies (provider)
- Main image

- Experimental details
- WB on mouse tissue lysate. Blocking: 1% LFDM for 30 min at RT; primary antibody: dilution 1:3000 incubated at 4°C overnight. Expected MW: 80; 81; 28 KDa.
Supportive validation
- Submitted by
- Invitrogen Antibodies (provider)
- Main image

- Experimental details
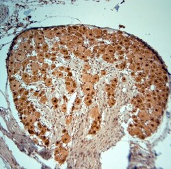
- IHC-P on paraffin sections of mouse spinal cord. The animal was perfused using Autoperfuser at a pressure of 130 mmHg with 300 mL 4% FA before being processed for paraffin embedding. HIER: Tris-EDTA, pH 9 for 20 min using Thermo PT Module. Blocking: 0.2% LFDM in TBST filtered thru 0.2 µm. Detection was done using Novolink HRP polymer from Leica following manufacturers instructions; DAB chromogen: Candela DAB chromogen from Osenses. Primary antibody: dilution 1:1000, incubated 30 min at RT using Autostainer. Sections were counterstained with Harris Hematoxylin. Small neurons are stained and also some nuclear staining is observed.
- Submitted by
- Invitrogen Antibodies (provider)
- Main image

- Experimental details
- IHC-P on paraffin sections of mouse spinal cord. The animal was perfused using Autoperfuser at a pressure of 130 mmHg with 300 mL 4% FA before being processed for paraffin embedding. HIER: Tris-EDTA, pH 9 for 20 min using Thermo PT Module. Blocking: 0.2% LFDM in TBST filtered thru 0.2 µm. Detection was done using Novolink HRP polymer from Leica following manufacturers instructions; DAB chromogen: Candela DAB chromogen from Osenses. Primary antibody: dilution 1:1000, incubated 30 min at RT using Autostainer. Sections were counterstained with Harris Hematoxylin. Small neurons are stained and also some nuclear staining is observed.
- Submitted by
- Invitrogen Antibodies (provider)
- Main image

- Experimental details
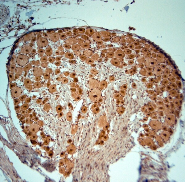
- IHC-P on paraffin sections of rat brain. The animal was perfused using Autoperfuser at a pressure of 130 mmHg with 300 mL 4% FA before being processed for paraffin embedding. HIER: Tris-EDTA, pH 9 for 20 min using Thermo PT Module. Blocking: 0.2% LFDM in TBST filtered thru 0.2 µm. Detection was done using Novolink HRP polymer from Leica following manufacturers instructions; DAB chromogen: Candela DAB chromogen from Osenses. Primary antibody: dilution 1:1000, incubated 30 min at RT using Autostainer. Sections were counterstained with Harris Hematoxylin. Small neurons are stained and also some nuclear staining is observed.
- Submitted by
- Invitrogen Antibodies (provider)
- Main image

- Experimental details
- IHC-P on paraffin sections of rat DRG. The animal was perfused using Autoperfuser at a pressure of 130 mmHg with 300 mL 4% FA before being processed for paraffin embedding. HIER: Tris-EDTA, pH 9 for 20 min using Thermo PT Module. Blocking: 0.2% LFDM in TBST filtered thru 0.2 µm. Detection was done using Novolink HRP polymer from Leica following manufacturers instructions; DAB chromogen: Candela DAB chromogen from Osenses. Primary antibody: dilution 1:1000, incubated 30 min at RT using Autostainer. Sections were counterstained with Harris Hematoxylin. Small neurons are stained and also some nuclear staining is observed.
- Submitted by
- Invitrogen Antibodies (provider)
- Main image

- Experimental details
- IHC-P on paraffin sections of rat spinal cord. The animal was perfused using Autoperfuser at a pressure of 130 mmHg with 300 mL 4% FA before being processed for paraffin embedding. HIER: Tris-EDTA, pH 9 for 20 min using Thermo PT Module. Blocking: 0.2% LFDM in TBST filtered thru 0.2 µm. Detection was done using Novolink HRP polymer from Leica following manufacturers instructions; DAB chromogen: Candela DAB chromogen from Osenses. Primary antibody: dilution 1:1000, incubated 30 min at RT using Autostainer. Sections were counterstained with Harris Hematoxylin. Small neurons are stained and also some nuclear staining is observed.
- Submitted by
- Invitrogen Antibodies (provider)
- Main image

- Experimental details
- IHC-P on paraffin sections of rat spinal cord. The animal was perfused using Autoperfuser at a pressure of 130 mmHg with 300 mL 4% FA before being processed for paraffin embedding. HIER: Tris-EDTA, pH 9 for 20 min using Thermo PT Module. Blocking: 0.2% LFDM in TBST filtered thru 0.2 µm. Detection was done using Novolink HRP polymer from Leica following manufacturers instructions; DAB chromogen: Candela DAB chromogen from Osenses. Primary antibody: dilution 1:1000, incubated 30 min at RT using Autostainer. Sections were counterstained with Harris Hematoxylin. Small neurons are stained and also some nuclear staining is observed.