Antibody data
- Antibody Data
- Antigen structure
- References [0]
- Comments [0]
- Validations
- Immunohistochemistry [5]
Submit
Validation data
Reference
Comment
Report error
- Product number
- PA5-59814 - Provider product page

- Provider
- Invitrogen Antibodies
- Product name
- Anti-C19orf48 Polyclonal Antibody
- Antibody type
- Polyclonal
- Antigen
- Recombinant full-length protein
- Description
- Immunogen sequence: MTVLEAVLEI QAITGSRLLS MVPGPARPPG SCWDPTQCTR TWLLSHTPRR RWISGLPR Highest antigen sequence identity to the following orthologs: Mouse - 40%, Rat - 40%.
- Reactivity
- Human
- Host
- Rabbit
- Isotype
- IgG
- Vial size
- 100 µL
- Concentration
- 0.2 mg/mL
- Storage
- Store at 4°C short term. For long term storage, store at -20°C, avoiding freeze/thaw cycles.
No comments: Submit comment
Supportive validation
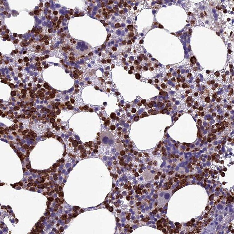
- Submitted by
- Invitrogen Antibodies (provider)
- Main image

- Experimental details
- Immunohistochemical analysis of C19orf48 in human bone marrow using C19orf48 Polyclonal Antibody (Product # PA5-59814) shows strong cytoplasmic positivity in hematopoietic cells.
- Submitted by
- Invitrogen Antibodies (provider)
- Main image

- Experimental details
- Immunohistochemical analysis of C19orf48 in human small intestine using C19orf48 Polyclonal Antibody (Product # PA5-59814) shows strong cytoplasmic positivity in lymphoid cells.
- Submitted by
- Invitrogen Antibodies (provider)
- Main image

- Experimental details
- Immunohistochemical analysis of C19orf48 in human lung using C19orf48 Polyclonal Antibody (Product # PA5-59814) shows moderate cytoplasmic positivity in macrophages.
- Submitted by
- Invitrogen Antibodies (provider)
- Main image

- Experimental details
- Immunohistochemical analysis of C19orf48 in human lymph node using C19orf48 Polyclonal Antibody (Product # PA5-59814) shows strong cytoplasmic positivity in a small subset of lymphoid cells.
- Submitted by
- Invitrogen Antibodies (provider)
- Main image

- Experimental details
- Immunohistochemical analysis of C19orf48 in human skeletal muscle using C19orf48 Polyclonal Antibody (Product # PA5-59814) shows no positivity in myocytes as expected.