ABIN1450049
antibody from antibodies-online
Targeting: UHRF1BP1
C6orf107, dJ349A12.1, FLJ20302, ICBP90
Antibody data
- Antibody Data
- Antigen structure
- References [1]
- Comments [0]
- Validations
- Western blot [1]
- Immunohistochemistry [1]
Submit
Validation data
Reference
Comment
Report error
- Product number
- ABIN1450049 - Provider product page

- Provider
- antibodies-online
- Product name
- anti-UHRF1 Binding Protein 1 (UHRF1BP1) (Middle Region) antibody
- Antibody type
- Polyclonal
- Antigen
- 17 amino acid synthetic peptide near the center of Human UHRF1BP1
- Description
- Affinity chromatography purified via peptide column
- Reactivity
- Human, Mouse
- Host
- Rabbit
- Epitope
- Middle Region
- Isotype
- IgG
- Vial size
- 0.1 mg
- Concentration
- 1.0 mg/mL
- Storage
- Store undiluted at 2-8°C for one month or (in aliquots) at -20°C for longer.
- Handling
- Avoid repeated freezing and thawing.
Submitted references ICBP90, a novel human CCAAT binding protein, involved in the regulation of topoisomerase IIalpha expression.
Hopfner R, Mousli M, Jeltsch JM, Voulgaris A, Lutz Y, Marin C, Bellocq JP, Oudet P, Bronner C
Cancer research 2000 Jan 1;60(1):121-8
Cancer research 2000 Jan 1;60(1):121-8
No comments: Submit comment
Supportive validation
- Submitted by
- antibodies-online (provider)
- Main image

- Experimental details
- Western blot analysis of UHRF1BP1 in mouse kidney tissue lysate with UHRF1BP1 antibody Cat.-No AP55546PU-N at (A) 1 and (B) 2 ?g/mL
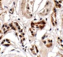
Supportive validation
- Submitted by
- antibodies-online (provider)
- Main image

- Experimental details
- Immunohistochemistry of UHRF1BP1 in human kidney tissue with UHRF1BP1 antibody at 2.5 ug/mL.