PA5-140143
antibody from Invitrogen Antibodies
Targeting: ERICH3
C1orf173, DKFZp547I048, RP11-653A5.1
Antibody data
- Antibody Data
- Antigen structure
- References [0]
- Comments [0]
- Validations
- Immunohistochemistry [1]
Submit
Validation data
Reference
Comment
Report error
- Product number
- PA5-140143 - Provider product page

- Provider
- Invitrogen Antibodies
- Product name
- ERICH3 Polyclonal Antibody
- Antibody type
- Polyclonal
- Antigen
- Recombinant protein fragment
- Description
- Gently mix before use. Optimal concentrations and conditions for each application should be determined by the user. Immunogen sequence: GLEPLLTKDS RRIHKTSLHS NAAITMIYLG KNVHLSSDNP DFRDEIKVYQ QHCGGENLCV YKGKLLEKET FQFISKRHHG FPFSLTFFLN GMQVNRLSSC CE
- Reactivity
- Human
- Host
- Rabbit
- Isotype
- IgG
- Vial size
- 100 μL
- Concentration
- 0.1 mg/mL
- Storage
- Store at 4°C short term. For long term storage, store at -20°C, avoiding freeze/thaw cycles.
No comments: Submit comment
Supportive validation
- Submitted by
- Invitrogen Antibodies (provider)
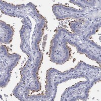
- Main image

- Experimental details
- Immunohistochemical analysis of ERICH3 in human fallopian tube using ERICH3 Polyclonal Antibody (Product # PA5-140143) shows strong membranous positivity in cilia of glandular cells.