12359-1-AP
antibody from Proteintech Group
Targeting: SYTL2
CHR11SYT, exophilin-4, FLJ20163, FLJ21219, KIAA1597, MGC102768, PPP1R151, SGA72M, SLP2
Antibody data
- Antibody Data
- Antigen structure
- References [2]
- Comments [0]
- Validations
- Western blot [1]
- Immunohistochemistry [2]
Submit
Validation data
Reference
Comment
Report error
- Product number
- 12359-1-AP - Provider product page

- Provider
- Proteintech Group
- Proper citation
- Proteintech Cat#12359-1-AP, RRID:AB_11182492
- Product name
- SYTL2 antibody
- Antibody type
- Polyclonal
- Description
- SYTL2 antibody (Cat. #12359-1-AP) is a rabbit polyclonal antibody that shows reactivity with human, mouse, rat and has been validated for the following applications: IHC, WB, ELISA.
- Reactivity
- Human, Mouse, Rat
- Host
- Rabbit
- Conjugate
- Unconjugated
- Isotype
- IgG
- Vial size
- 20ul, 150ul
Submitted references ASPSCR1::TFE3 orchestrates the angiogenic program of alveolar soft part sarcoma.
Suppression of PD-L1 release from small extracellular vesicles promotes systemic anti-tumor immunity by targeting ORAI1 calcium channels.
Tanaka M, Chuaychob S, Homme M, Yamazaki Y, Lyu R, Yamashita K, Ae K, Matsumoto S, Kumegawa K, Maruyama R, Qu W, Miyagi Y, Yokokawa R, Nakamura T
Nature communications 2023 Apr 7;14(1):1957
Nature communications 2023 Apr 7;14(1):1957
Suppression of PD-L1 release from small extracellular vesicles promotes systemic anti-tumor immunity by targeting ORAI1 calcium channels.
Chen X, Li J, Zhang R, Zhang Y, Wang X, Leung EL, Ma L, Wong VKW, Liu L, Neher E, Yu H
Journal of extracellular vesicles 2022 Dec;11(12):e12279
Journal of extracellular vesicles 2022 Dec;11(12):e12279
No comments: Submit comment
Supportive validation
- Submitted by
- Proteintech Group (provider)
- Main image

- Experimental details
- Jurkat cells were subjected to SDS PAGE followed by western blot with 12359-1-AP(SYTL2 antibody) at dilution of 1:500
- Sample type
- cell line
Supportive validation
- Submitted by
- Proteintech Group (provider)
- Main image

- Experimental details
- Immunohistochemical of paraffin-embedded human breast cancer using 12359-1-AP(SYTL2 antibody) at dilution of 1:50 (under 10x lens)
- Sample type
- tissue
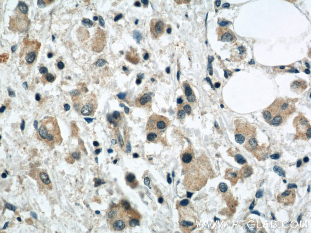
- Submitted by
- Proteintech Group (provider)
- Main image

- Experimental details
- The SYTL2 antibody from Proteintech is a rabbit polyclonal antibody to a recombinant protein of human SYTL2. This antibody recognizes human,mouse,rat antigen. The SYTL2 antibody has been validated for the following applications: ELISA, WB, IHC analysis.