Antibody data
- Antibody Data
- Antigen structure
- References [0]
- Comments [0]
- Validations
- Immunohistochemistry [6]
Submit
Validation data
Reference
Comment
Report error
- Product number
- PA5-61502 - Provider product page

- Provider
- Invitrogen Antibodies
- Product name
- CNPY1 Polyclonal Antibody
- Antibody type
- Polyclonal
- Antigen
- Recombinant protein fragment
- Description
- Immunogen sequence: DPVTKERTFK RFAPRKGDKI YQEFKKLYFY SDAYRPLKFA CETIIEEYED EISSLIAQET HYLADKLCSE KSDLCETSAN H Highest antigen sequence identity to the following orthologs: Mouse - 72%, Rat - 75%.
- Reactivity
- Human
- Host
- Rabbit
- Isotype
- IgG
- Vial size
- 100 μL
- Concentration
- 0.2 mg/mL
- Storage
- Store at 4°C short term. For long term storage, store at -20°C, avoiding freeze/thaw cycles.
No comments: Submit comment
Supportive validation
- Submitted by
- Invitrogen Antibodies (provider)
- Main image

- Experimental details
- Immunohistochemical analysis of CNPY1 in human cerebellum using CNPY1 Polyclonal Antibody (Product # PA5-61502) shows strong cytoplasmic positivity in all layers.
- Submitted by
- Invitrogen Antibodies (provider)
- Main image

- Experimental details
- Immunohistochemical analysis of CNPY1 in human pancreas using CNPY1 Polyclonal Antibody (Product # PA5-61502) shows moderate cytoplasmic positivity in exocrine glandular cells.
- Submitted by
- Invitrogen Antibodies (provider)
- Main image

- Experimental details
- Immunohistochemical analysis of CNPY1 in human skin using CNPY1 Polyclonal Antibody (Product # PA5-61502) shows weak to moderate cytoplasmic positivity in squamous epithelial cells.
- Submitted by
- Invitrogen Antibodies (provider)
- Main image

- Experimental details
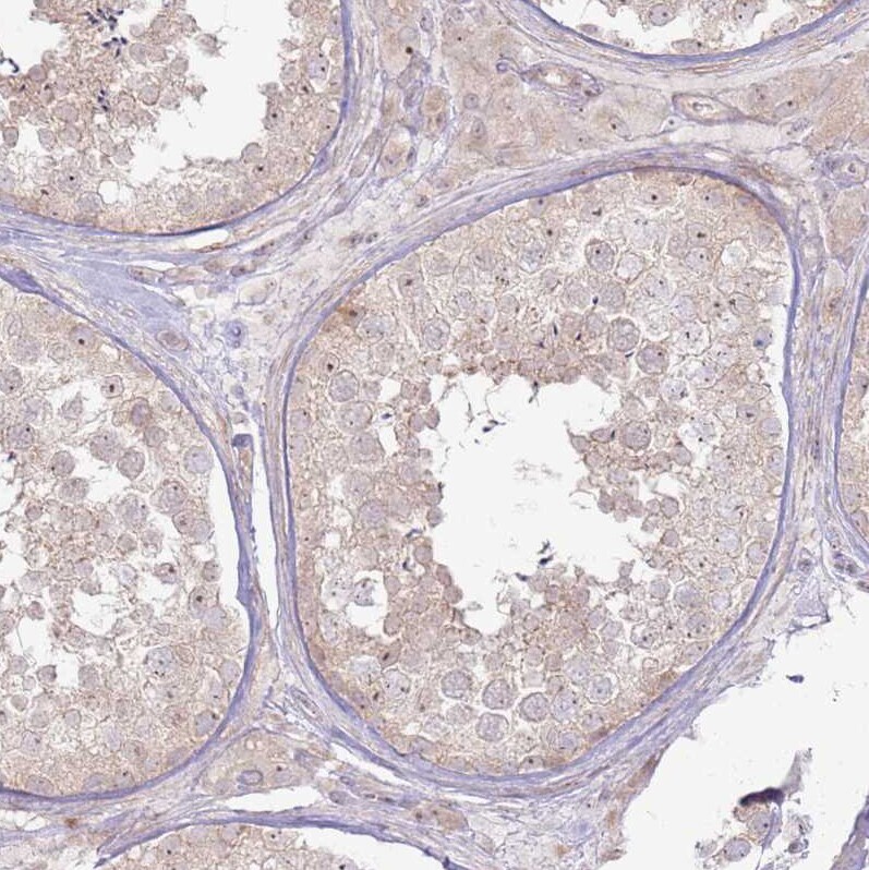
- Immunohistochemical analysis of CNPY1 in human testis using CNPY1 Polyclonal Antibody (Product # PA5-61502) shows weak cytoplasmic positivity in cells in seminiferous ducts.
- Submitted by
- Invitrogen Antibodies (provider)
- Main image

- Experimental details
- Immunohistochemical analysis of CNPY1 in human cerebellum using CNPY1 Polyclonal Antibody (Product # PA5-61502) shows strong cytoplasmic positivity in all layers.
- Submitted by
- Invitrogen Antibodies (provider)
- Main image

- Experimental details
- Immunohistochemical analysis of CNPY1 in human testis using CNPY1 Polyclonal Antibody (Product # PA5-61502) shows weak cytoplasmic positivity in cells in seminiferous ducts.