Antibody data
- Antibody Data
- Antigen structure
- References [1]
- Comments [0]
- Validations
- Immunohistochemistry [9]
Submit
Validation data
Reference
Comment
Report error
- Product number
- NBP1-81984 - Provider product page

- Provider
- Novus Biologicals
- Proper citation
- Novus Cat#NBP1-81984, RRID:AB_11036309
- Product name
- Rabbit Polyclonal SPATA18 Antibody
- Antibody type
- Polyclonal
- Description
- Immunogen affinity purified. Specificity of human SPATA18 antibody verified on a Protein Array containing target protein plus 383 other non-specific proteins.
- Reactivity
- Human
- Host
- Rabbit
- Isotype
- IgG
- Vial size
- 0.1 ml
- Storage
- Store at 4C short term. Aliquot and store at -20C long term. Avoid freeze-thaw cycles.
Submitted references Local mitochondrial-endolysosomal microfusion cleaves voltage-dependent anion channel 1 to promote survival in hypoxia.
Brahimi-Horn MC, Lacas-Gervais S, Adaixo R, Ilc K, Rouleau M, Notte A, Dieu M, Michiels C, Voeltzel T, Maguer-Satta V, Pelletier J, Ilie M, Hofman P, Manoury B, Schmidt A, Hiller S, Pouysségur J, Mazure NM
Molecular and cellular biology 2015 May;35(9):1491-505
Molecular and cellular biology 2015 May;35(9):1491-505
No comments: Submit comment
Supportive validation
- Submitted by
- Novus Biologicals (provider)
- Main image

- Experimental details
- Immunohistochemistry-Paraffin: SPATA18 Antibody [NBP1-81984] - Staining of human fallopian tube shows high expression.
- Submitted by
- Novus Biologicals (provider)
- Main image

- Experimental details
- Immunohistochemistry-Paraffin: SPATA18 Antibody [NBP1-81984] - Staining in human fallopian tube and prostate tissues using anti-SPATA18 antibody. Corresponding SPATA18 RNA-seq data are presented for the same tissues.
- Submitted by
- Novus Biologicals (provider)
- Main image

- Experimental details
- Immunohistochemistry-Paraffin: SPATA18 Antibody [NBP1-81984] - Staining of human cerebral cortex, fallopian tube, lymph node and prostate using Anti-SPATA18 antibody NBP1-81984 (A) shows similar protein distribution across tissues to independent antibody NBP2-48667 (B).
- Submitted by
- Novus Biologicals (provider)
- Main image

- Experimental details
- Immunohistochemistry-Paraffin: SPATA18 Antibody [NBP1-81984] - Staining of human nasopharynx shows cytoplasmic positivity in respiratory epithelial cells.
- Submitted by
- Novus Biologicals (provider)
- Main image

- Experimental details
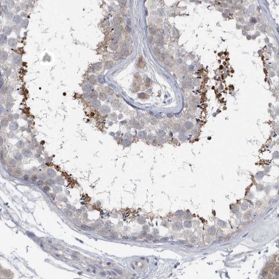
- Immunohistochemistry-Paraffin: SPATA18 Antibody [NBP1-81984] - Staining of human testis shows cytoplasmic positivity in spermatids.
- Submitted by
- Novus Biologicals (provider)
- Main image

- Experimental details
- Immunohistochemistry-Paraffin: SPATA18 Antibody [NBP1-81984] - Staining of human cerebral cortex.
- Submitted by
- Novus Biologicals (provider)
- Main image

- Experimental details
- Immunohistochemistry-Paraffin: SPATA18 Antibody [NBP1-81984] - Staining of human prostate.
- Submitted by
- Novus Biologicals (provider)
- Main image

- Experimental details
- Immunohistochemistry-Paraffin: SPATA18 Antibody [NBP1-81984] - Staining of human tonsil shows no positivity in germinal center cells as expected.
- Submitted by
- Novus Biologicals (provider)
- Main image

- Experimental details
- Immunohistochemistry-Paraffin: SPATA18 Antibody [NBP1-81984] - Staining of human lymph node.