Antibody data
- Antibody Data
- Antigen structure
- References [0]
- Comments [0]
- Validations
- Western blot [1]
- Immunohistochemistry [7]
Submit
Validation data
Reference
Comment
Report error
- Product number
- NBP2-32683 - Provider product page

- Provider
- Novus Biologicals
- Product name
- Rabbit Polyclonal MENT Antibody
- Antibody type
- Polyclonal
- Description
- Immunogen affinity purified. Specificity of human C1orf56 antibody verified on a Protein Array containing target protein plus 383 other non-specific proteins.
- Reactivity
- Human
- Host
- Rabbit
- Isotype
- IgG
- Vial size
- 0.1 ml
- Storage
- Store at 4C short term. Aliquot and store at -20C long term. Avoid freeze-thaw cycles.
No comments: Submit comment
Supportive validation
- Submitted by
- Novus Biologicals (provider)
- Main image

- Experimental details
- Western Blot: C1orf56 Antibody [NBP2-32683] - Analysis in control (vector only transfected HEK293T lysate) and C1orf56 over-expression lysate (Co-expressed with a C-terminal myc-DDK tag (3.1 kDa) in mammalian HEK293T cells).
Supportive validation
- Submitted by
- Novus Biologicals (provider)
- Main image

- Experimental details
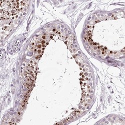
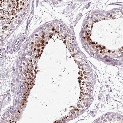
- Immunohistochemistry-Paraffin: C1orf56 Antibody [NBP2-32683] - Staining of human testis shows high expression.
- Submitted by
- Novus Biologicals (provider)
- Main image

- Experimental details
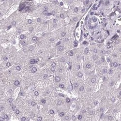
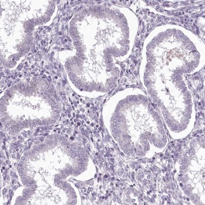
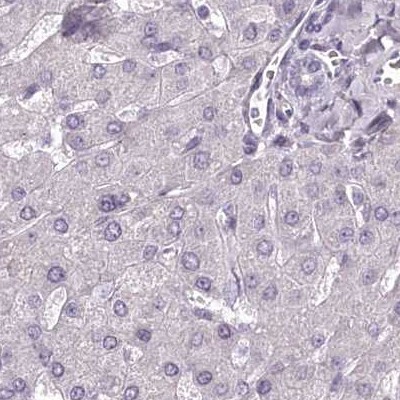
- Immunohistochemistry-Paraffin: C1orf56 Antibody [NBP2-32683] - Staining of human liver.
- Submitted by
- Novus Biologicals (provider)
- Main image

- Experimental details
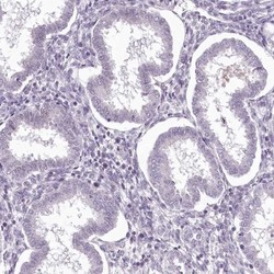
- Immunohistochemistry-Paraffin: C1orf56 Antibody [NBP2-32683] - Staining of human endometrium shows low expression as expected.
- Submitted by
- Novus Biologicals (provider)
- Main image

- Experimental details
- Immunohistochemistry-Paraffin: C1orf56 Antibody [NBP2-32683] - Staining in human testis and endometrium tissues using anti-C1orf56 antibody. Corresponding C1orf56 RNA-seq data are presented for the same tissues.
- Submitted by
- Novus Biologicals (provider)
- Main image

- Experimental details
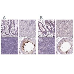
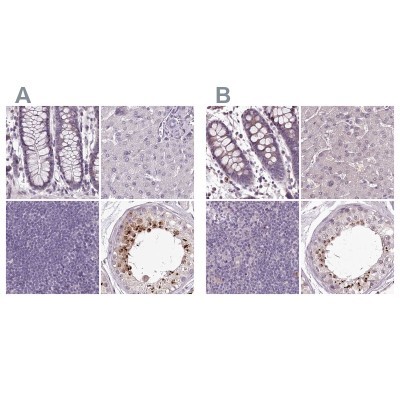
- Immunohistochemistry-Paraffin: C1orf56 Antibody [NBP2-32683] - Staining of human colon, liver, lymph node and testis using Anti-C1orf56 antibody NBP2-32683 (A) shows similar protein distribution across tissues to independent antibody NBP1-82174 (B).
- Submitted by
- Novus Biologicals (provider)
- Main image

- Experimental details
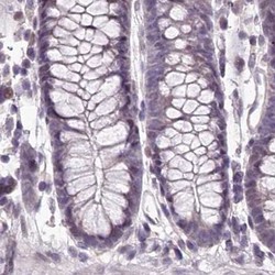
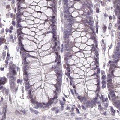
- Immunohistochemistry-Paraffin: C1orf56 Antibody [NBP2-32683] - Staining of human colon.
- Submitted by
- Novus Biologicals (provider)
- Main image

- Experimental details
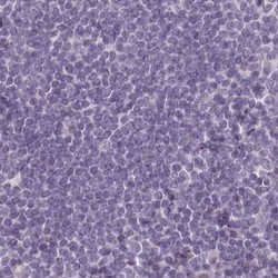
- Immunohistochemistry-Paraffin: C1orf56 Antibody [NBP2-32683] - Staining of human lymph node.