Antibody data
- Antibody Data
- Antigen structure
- References [0]
- Comments [0]
- Validations
- Western blot [1]
- Immunohistochemistry [1]
Submit
Validation data
Reference
Comment
Report error
- Product number
- PAB23110 - Provider product page

- Provider
- Abnova Corporation
- Proper citation
- Abnova Corporation Cat#PAB23110, RRID:AB_11121830
- Product name
- C1orf56 polyclonal antibody
- Antibody type
- Polyclonal
- Description
- Rabbit polyclonal antibody raised against recombinant C1orf56.
- Antigen sequence
SSTRFIANSQEPEIRLTSSLPRSPGRSTEDLPGSQ
ATLSQWSTPGSTPSRWPSPSPTAMPSPEDLRLVLM
PWGPWHCHCKSGTMS- Isotype
- IgG
- Storage
- Store at 4°C. For long term storage store at -20°C.Aliquot to avoid repeated freezing and thawing.
No comments: Submit comment
Supportive validation
- Submitted by
- Abnova Corporation (provider)
- Main image

- Experimental details
- Western blot analysis of Lane 1: Negative control (vector only transfected HEK293T lysate), Lane 2: Over-expression Lysate (Co-expressed with a C-terminal myc-DDK tag (~3.1 kDa) in mammalian HEK293T cells) with C1orf56 polyclonal antibody (Cat # PAB23110) at 1:250-1:500 dilution.
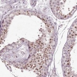
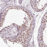
Supportive validation
- Submitted by
- Abnova Corporation (provider)
- Main image

- Experimental details
- Immunohistochemical staining of human testis with C1orf56 polyclonal antibody (Cat # PAB23110) shows strong cytoplasmic positivity in cells in seminiferus ducts at 1:50-1:200 dilution.
- Validation comment
- Immunohistochemistry (Formalin/PFA-fixed paraffin-embedded sections)