Antibody data
- Antibody Data
- Antigen structure
- References [0]
- Comments [0]
- Validations
- Immunocytochemistry [1]
- Immunohistochemistry [7]
Submit
Validation data
Reference
Comment
Report error
- Product number
- PA5-57949 - Provider product page

- Provider
- Invitrogen Antibodies
- Product name
- MENT Polyclonal Antibody
- Antibody type
- Polyclonal
- Antigen
- Recombinant protein fragment
- Description
- Immunogen sequence: HKPCTYQQCP CNRLREECPL DTSLCTDTNC ASQSTTSTRT TTTPFPTIHL RSSPSLPPAS PCPALAFWKR VRIG Highest antigen sequence identity to the following orthologs: Mouse - 59%, Rat - 62%.
- Reactivity
- Human
- Host
- Rabbit
- Isotype
- IgG
- Vial size
- 100 μL
- Concentration
- 0.2 mg/mL
- Storage
- Store at 4°C short term. For long term storage, store at -20°C, avoiding freeze/thaw cycles.
No comments: Submit comment
Supportive validation
- Submitted by
- Invitrogen Antibodies (provider)
- Main image

- Experimental details
- Immunofluorescent staining of MENT in human cell line A-431 shows positivity in nucleus but excluded from the nucleoli. Samples were probed using a MENT Polyclonal Antibody (Product # PA5-57949).
Supportive validation
- Submitted by
- Invitrogen Antibodies (provider)
- Main image

- Experimental details
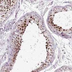
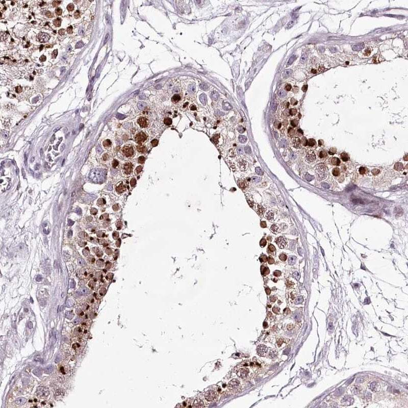
- Immunohistochemical analysis of MENT in human testis using MENT Polyclonal Antibody (Product # PA5-57949) shows high expression.
- Submitted by
- Invitrogen Antibodies (provider)
- Main image

- Experimental details
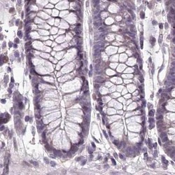
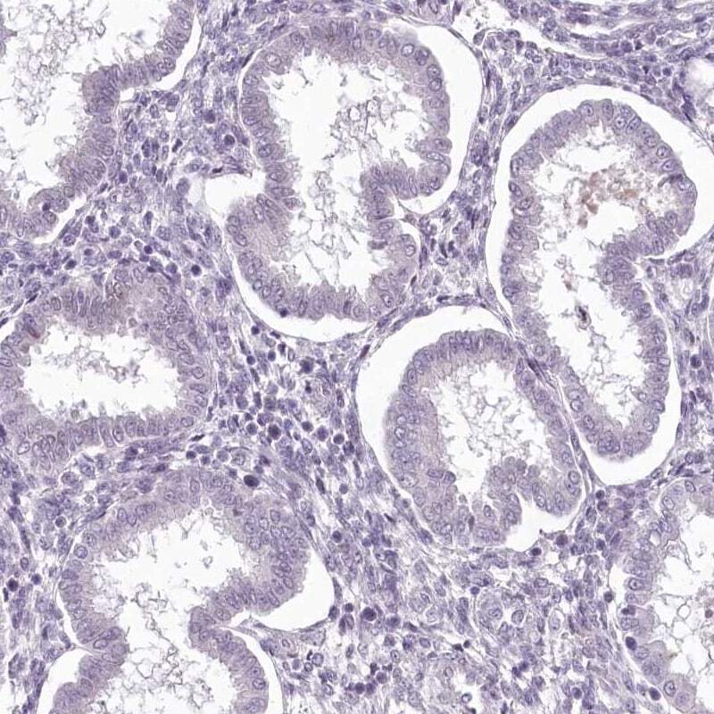
- Immunohistochemical staining of MENT in human colon using MENT Polyclonal Antibody (Product # PA5-57949).
- Submitted by
- Invitrogen Antibodies (provider)
- Main image

- Experimental details
- Immunohistochemical staining of MENT in human testis and endometrium tissues using MENT Polyclonal Antibody (Product # PA5-57949). Corresponding C1orf56 RNA-seq data are presented for the same tissues.
- Submitted by
- Invitrogen Antibodies (provider)
- Main image

- Experimental details
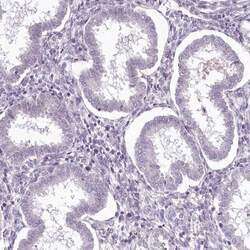
- Immunohistochemical staining of MENT in human endometrium using MENT Polyclonal Antibody (Product # PA5-57949) shows low expression as expected.
- Submitted by
- Invitrogen Antibodies (provider)
- Main image

- Experimental details
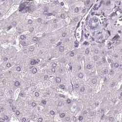
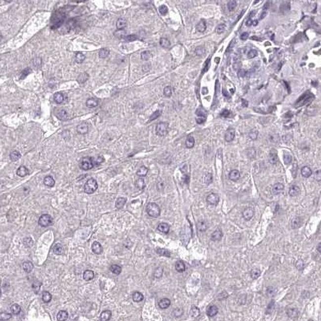
- Immunohistochemical staining of MENT in human liver using MENT Polyclonal Antibody (Product # PA5-57949).
- Submitted by
- Invitrogen Antibodies (provider)
- Main image

- Experimental details
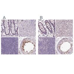
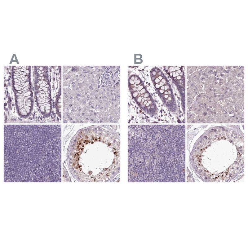
- Immunohistochemical staining of MENT in human colon, liver, lymph node and testis using MENT Polyclonal Antibody (Product # PA5-57949) (A) shows similar protein distribution across tissues to an independent MENT Polyclonal Antibody (B).
- Submitted by
- Invitrogen Antibodies (provider)
- Main image

- Experimental details
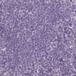
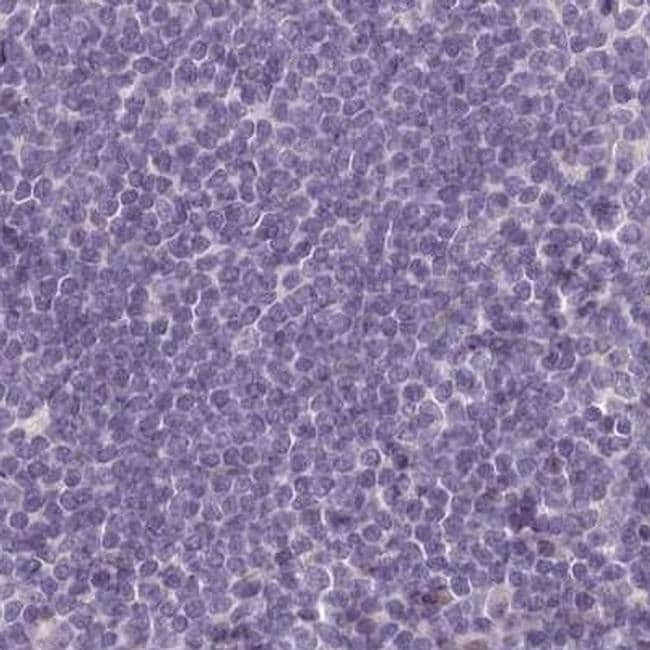
- Immunohistochemical staining of MENT in human lymph node using MENT Polyclonal Antibody (Product # PA5-57949).