Antibody data
- Antibody Data
- Antigen structure
- References [0]
- Comments [0]
- Validations
- Immunohistochemistry [4]
Submit
Validation data
Reference
Comment
Report error
- Product number
- PA5-53569 - Provider product page

- Provider
- Invitrogen Antibodies
- Product name
- UD2A1 Polyclonal Antibody
- Antibody type
- Polyclonal
- Antigen
- Recombinant protein fragment
- Description
- Immunogen sequence: KEHNVTVLVA SGALFITPTS NPSLTFEIYK VPFGKERIEG VIKDFVLTWL ENRPSPSTIW RFYQEMAKVI KDFHMVSQEI CDGVLKNQQL MAKLKKSKFE VLVSDPVFPC GDIVALKLGI PFMYS Highest antigen sequence identity to the following orthologs: Mouse - 84%, Rat - 83%.
- Reactivity
- Human
- Host
- Rabbit
- Isotype
- IgG
- Vial size
- 100 μL
- Concentration
- 0.05 mg/mL
- Storage
- Store at 4°C short term. For long term storage, store at -20°C, avoiding freeze/thaw cycles.
No comments: Submit comment
Supportive validation
- Submitted by
- Invitrogen Antibodies (provider)
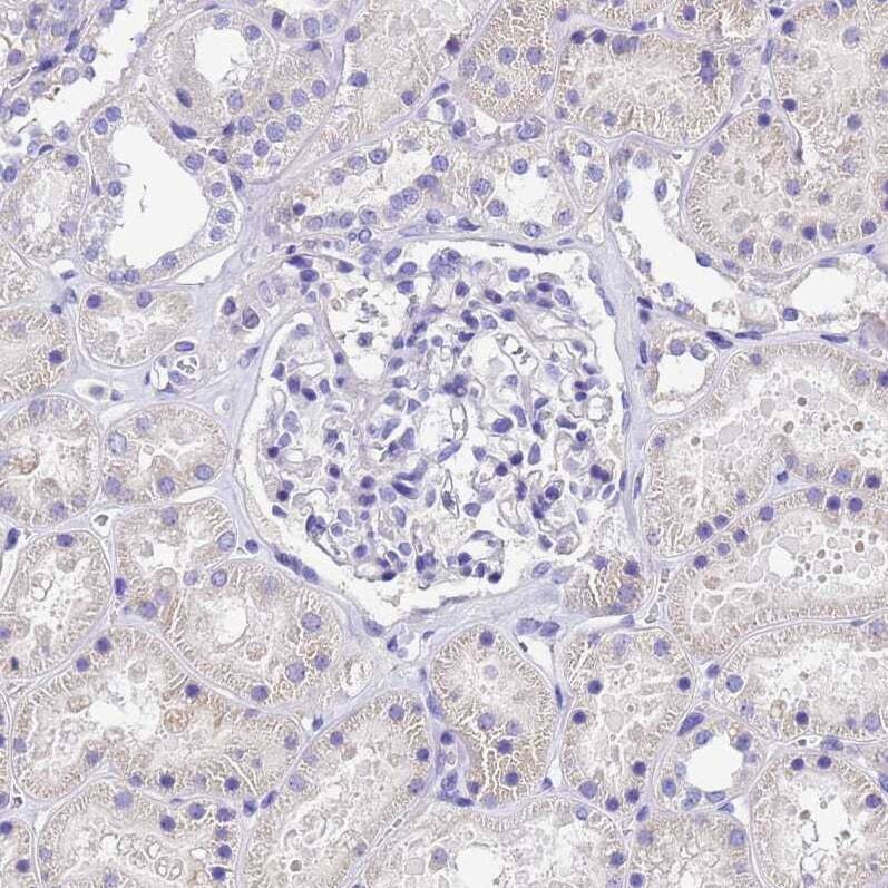
- Main image

- Experimental details
- Immunohistochemical analysis of UD2A1 in human kidney using UD2A1 Polyclonal Antibody (Product # PA5-53569) shows weak cytoplasmic positivity in cells in tubules.
- Submitted by
- Invitrogen Antibodies (provider)
- Main image

- Experimental details
- Immunohistochemical analysis of UD2A1 in human lymph node using UD2A1 Polyclonal Antibody (Product # PA5-53569) shows no positivity in non-germinal center cells as expected.
- Submitted by
- Invitrogen Antibodies (provider)
- Main image

- Experimental details
- Immunohistochemical analysis of UD2A1 in human small intestine using UD2A1 Polyclonal Antibody (Product # PA5-53569) shows moderate cytoplasmic positivity in glandular cells.
- Submitted by
- Invitrogen Antibodies (provider)
- Main image

- Experimental details
- Immunohistochemical analysis of UD2A1 in human skeletal muscle using UD2A1 Polyclonal Antibody (Product # PA5-53569) shows weak cytoplasmic positivity in myocytes.