Antibody data
- Antibody Data
- Antigen structure
- References [0]
- Comments [0]
- Validations
- Immunohistochemistry [1]
- Flow cytometry [1]
Submit
Validation data
Reference
Comment
Report error
- Product number
- PA5-48186 - Provider product page

- Provider
- Invitrogen Antibodies
- Product name
- Anti-PRR22 Polyclonal Antibody
- Antibody type
- Polyclonal
- Antigen
- Synthetic peptide
- Reactivity
- Human
- Host
- Rabbit
- Isotype
- IgG
- Vial size
- 400 µl
- Concentration
- Lot Dependent
- Storage
- -20° C, Avoid Freeze/Thaw Cycles
No comments: Submit comment
Supportive validation
- Submitted by
- Invitrogen Antibodies (provider)
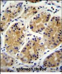
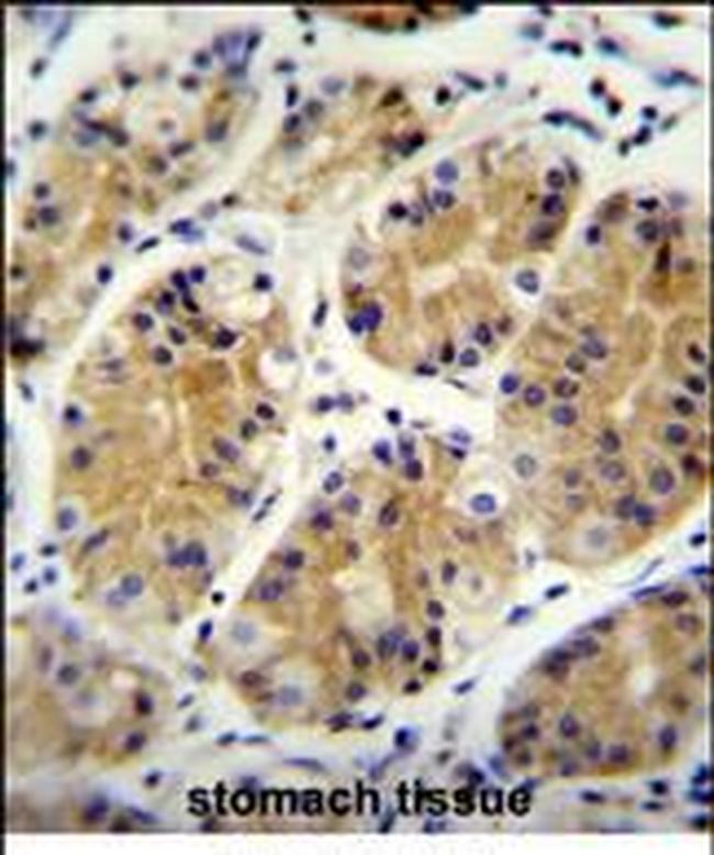
- Main image

- Experimental details
- Immunohistochemical analysis of MGC24975 in formalin fixed and paraffin embedded human stomach tissue. Samples were probed with a MGC24975 Antibody (C-term) (Product # PA5-48186) followed by peroxidase conjugation of the secondary antibody and DAB staining.
Supportive validation
- Submitted by
- Invitrogen Antibodies (provider)
- Main image

- Experimental details
- Flow cytometric analysis of MGC24975 in Ramos cells (right histogram) compared to a negative control cell (left histogram). Samples were incubated with a MGC24975 Antibody (C-term) (Product # PA5-48186) followed by incubation with a FITC-conjugated goat-anti-rabbit secondary antibody.