Antibody data
- Antibody Data
- Antigen structure
- References [0]
- Comments [0]
- Validations
- Immunohistochemistry [2]
Submit
Validation data
Reference
Comment
Report error
- Product number
- PA5-116930 - Provider product page

- Provider
- Invitrogen Antibodies
- Product name
- DNAJC17 Polyclonal Antibody
- Antibody type
- Polyclonal
- Antigen
- Recombinant full-length protein
- Description
- Positive Samples: HeLa, A-549, Mouse testis, Mouse thymus, Rat testis Immunogen sequence: MAVTKELLQM DLYALLGIEE KAADKEVKKA YRQKALSCHP DKNPDNPRAA ELFHQLSQAL EVLTDAAARA AYDKVRKAKK QAAERTQKLD EKRKKVKLDL EARERQAQAQ ESEEEEESRS TRTLEQEIER LREEGSRQLE EQQRLIREQI RQERDQRLRG KAENTEGQGT PKLKLKWKCK KEDESKGGYS KDVLLRLLQK YGEVLNLVLS SKKPGTAVVE FATVKAAELA VQNEVGLVDN PLKISWLEGQ PQDAVGRSHS GLSKGSVLSE RDYESLVMMR MRQAAERQQL IARMQQEDQE GPPT
- Reactivity
- Human, Mouse, Rat
- Host
- Rabbit
- Isotype
- IgG
- Vial size
- 100 μL
- Concentration
- 0.26 mg/mL
- Storage
- -20°C, Avoid Freeze/Thaw Cycles
No comments: Submit comment
Supportive validation
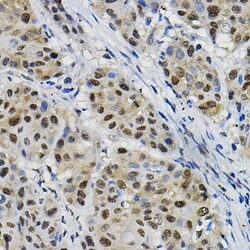
- Submitted by
- Invitrogen Antibodies (provider)
- Main image

- Experimental details
- Immunohistochemistry analysis of DNAJC17 in paraffin-embedded human esophageal cancer. Samples were incubated with DNAJC17 Polyclonal antibody (Product # PA5-116930) using a dilution of 1:20 (40x lens). Perform high pressure antigen retrieval with 10 mM citrate buffer pH 6.0 before commencing with IHC staining protocol.
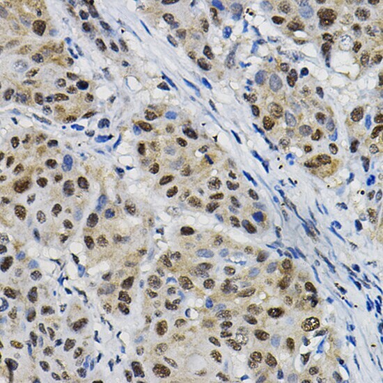
- Submitted by
- Invitrogen Antibodies (provider)
- Main image

- Experimental details
- Immunohistochemistry analysis of DNAJC17 in paraffin-embedded mouse spinal cord. Samples were incubated with DNAJC17 Polyclonal antibody (Product # PA5-116930) using a dilution of 1:20 (40x lens). Perform high pressure antigen retrieval with 10 mM citrate buffer pH 6.0 before commencing with IHC staining protocol.