Antibody data
- Antibody Data
- Antigen structure
- References [0]
- Comments [0]
- Validations
- Western blot [1]
- Immunohistochemistry [1]
Submit
Validation data
Reference
Comment
Report error
- Product number
- NBP2-66884 - Provider product page

- Provider
- Novus Biologicals
- Product name
- Mouse Monoclonal HEATR8 Antibody
- Antibody type
- Monoclonal
- Description
- Protein A purified.
- Reactivity
- Human
- Host
- Mouse
- Isotype
- IgG
- Vial size
- 100 ul
- Storage
- Store at 4C short term. Aliquot and store at -20C long term. Avoid freeze-thaw cycles.
No comments: Submit comment
Supportive validation
- Submitted by
- Novus Biologicals (provider)
- Main image

- Experimental details
- Western Blot: HEATR8 Antibody (A5-D4-A6) [NBP2-66884] - Analysis of C1orf175 on recombinant protein using anti-C1orf175 antibody at 1/1,000 dilution.
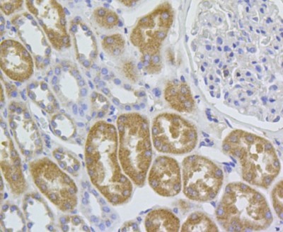
Supportive validation
- Submitted by
- Novus Biologicals (provider)
- Main image

- Experimental details
- Immunohistochemistry-Paraffin: HEATR8 Antibody (A5-D4-A6) [NBP2-66884] - Analysis of paraffin-embedded human kidney tissue using anti-C1orf175 antibody. Counter stained with hematoxylin.