Antibody data
- Antibody Data
- Antigen structure
- References [0]
- Comments [0]
- Validations
- Western blot [1]
- Immunohistochemistry [3]
Submit
Validation data
Reference
Comment
Report error
- Product number
- NBP1-90637 - Provider product page

- Provider
- Novus Biologicals
- Proper citation
- Novus Cat#NBP1-90637, RRID:AB_11011581
- Product name
- Rabbit Polyclonal SYCE2 Antibody
- Antibody type
- Polyclonal
- Description
- Immunogen affinity purified. Specificity of human SYCE2 antibody verified on a Protein Array containing target protein plus 383 other non-specific proteins.
- Reactivity
- Human
- Host
- Rabbit
- Isotype
- IgG
- Vial size
- 0.1 ml
- Storage
- Store at 4C short term. Aliquot and store at -20C long term. Avoid freeze-thaw cycles.
No comments: Submit comment
Supportive validation
- Submitted by
- Novus Biologicals (provider)
- Main image

- Experimental details
- Western Blot: SYCE2 Antibody [NBP1-90637] - Staining of human testis shows high expression.
Supportive validation
- Submitted by
- Novus Biologicals (provider)
- Main image

- Experimental details
- Immunohistochemistry-Paraffin: SYCE2 Antibody [NBP1-90637] - Staining of human stomach, lower shows moderate cytoplasmic positivity in glandular cells.
- Submitted by
- Novus Biologicals (provider)
- Main image

- Experimental details
- Immunohistochemistry-Paraffin: SYCE2 Antibody [NBP1-90637] - Staining of human kidney shows low expression as expected.
- Submitted by
- Novus Biologicals (provider)
- Main image

- Experimental details
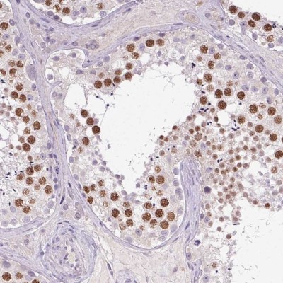
- Immunohistochemistry-Paraffin: SYCE2 Antibody [NBP1-90637] - Staining in human testis and kidney tissues using anti-SYCE2 antibody. Corresponding SYCE2 RNA-seq data are presented for the same tissues.