Antibody data
- Antibody Data
- Antigen structure
- References [0]
- Comments [0]
- Validations
- Immunohistochemistry [1]
Submit
Validation data
Reference
Comment
Report error
- Product number
- PAB22968 - Provider product page

- Provider
- Abnova Corporation
- Proper citation
- Abnova Corporation Cat#PAB22968, RRID:AB_11120990
- Product name
- CCDC152 polyclonal antibody
- Antibody type
- Polyclonal
- Description
- Rabbit polyclonal antibody raised against recombinant CCDC152.
- Antigen sequence
KEMEISELNAKLRSQEKEKQNEIIKLQLEFDAKLA
RVQTKSKSYQDSTVLPQSIYRRKLQHFQEEKNKEI
AILRNTIRDLEQRLSVGKDSHLKRRRF- Isotype
- IgG
- Storage
- Store at 4°C. For long term storage store at -20°C.Aliquot to avoid repeated freezing and thawing.
No comments: Submit comment
Supportive validation
- Submitted by
- Abnova Corporation (provider)
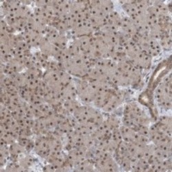
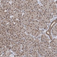
- Main image

- Experimental details
- Immunohistochemical staining of human pancreas with CCDC152 polyclonal antibody (Cat # PAB22968) shows moderate nuclear positivity in exocrine glandular cells at 1:200-1:500 dilution.
- Validation comment
- Immunohistochemistry (Formalin/PFA-fixed paraffin-embedded sections)