BS-12329R
antibody from Invitrogen Antibodies
Targeting: THEMIS
bA325O24.3, bA325O24.4, C6orf190, C6orf207, FLJ40584, TSEPA
Antibody data
- Antibody Data
- Antigen structure
- References [0]
- Comments [0]
- Validations
- Immunohistochemistry [3]
Submit
Validation data
Reference
Comment
Report error
- Product number
- BS-12329R - Provider product page

- Provider
- Invitrogen Antibodies
- Product name
- THEMIS Polyclonal Antibody
- Antibody type
- Polyclonal
- Antigen
- Synthetic peptide
- Reactivity
- Human, Mouse, Rat
- Host
- Rabbit
- Isotype
- IgG
- Vial size
- 100 µL
- Concentration
- 1 mg/mL
- Storage
- -20°C
No comments: Submit comment
Supportive validation
- Submitted by
- Invitrogen Antibodies (provider)
- Main image

- Experimental details
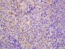
- Formalin-fixed and paraffin embedded Rat lung spleen labeled with Anti-THEMIS Polyclonal Antibody, Unconjugated (bs-12329R) at 1:300, followed by conjugation to the secondary antibody and DAB staining.
- Submitted by
- Invitrogen Antibodies (provider)
- Main image

- Experimental details
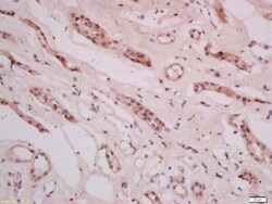
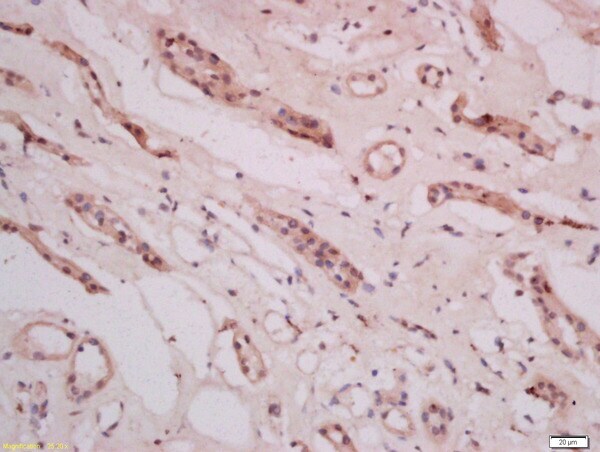
- Formalin-fixed and paraffin embedded human kidney tissue labeled with Anti-THEMIS Polyclonal Antibody, Unconjugated(bs-12329R) 1:400 followed by conjugation to the secondary antibody and DAB staining.
- Submitted by
- Invitrogen Antibodies (provider)
- Main image

- Experimental details
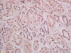
- Formalin-fixed and paraffin embedded human kidney tissue labeled with Anti-THEMIS Polyclonal Antibody, Unconjugated(bs-12329R) 1:400 followed by conjugation to the secondary antibody and DAB staining.