Antibody data
- Antibody Data
- Antigen structure
- References [0]
- Comments [0]
- Validations
- Immunocytochemistry [2]
- Immunohistochemistry [3]
Submit
Validation data
Reference
Comment
Report error
- Product number
- PA5-58669 - Provider product page

- Provider
- Invitrogen Antibodies
- Product name
- TMEM39A Polyclonal Antibody
- Antibody type
- Polyclonal
- Antigen
- Recombinant protein fragment
- Description
- Immunogen sequence: HQDSRAHLLL TDYNYVVQHE AVEESASTVG GLAKSKDFLS LLLESLKEQF NNATPIPTHS CPLSPDLIRN EVECLKADFN HRIK Highest antigen sequence identity to the following orthologs: Mouse - 92%, Rat - 88%.
- Reactivity
- Human
- Host
- Rabbit
- Isotype
- IgG
- Vial size
- 100 μL
- Concentration
- 0.1 mg/mL
- Storage
- Store at 4°C short term. For long term storage, store at -20°C, avoiding freeze/thaw cycles.
No comments: Submit comment
Supportive validation
- Submitted by
- Invitrogen Antibodies (provider)
- Main image

- Experimental details
- Immunofluorescent staining of TMEM39A in human cell line U-2 OS shows positivity in nucleus but excluded from the nucleoli. Samples were probed using a TMEM39A Polyclonal Antibody (Product # PA5-58669).
- Submitted by
- Invitrogen Antibodies (provider)
- Main image

- Experimental details
- Immunofluorecent analysis of TMEM39A in human cell line U-2 OS using TMEM39A Polyclonal Antibody (Product # PA5-58669). Staining shows localization to nucleoplasm and vesicles.
Supportive validation
- Submitted by
- Invitrogen Antibodies (provider)
- Main image

- Experimental details
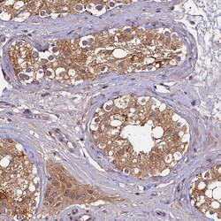
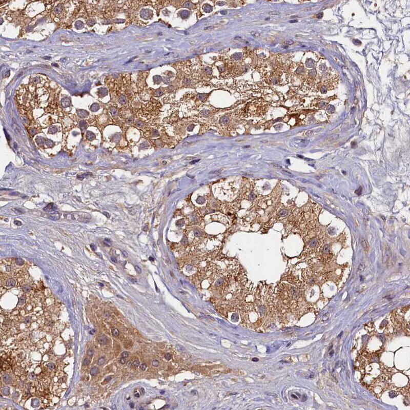
- Immunohistochemical staining of TMEM39A in human testis using TMEM39A Polyclonal Antibody (Product # PA5-58669) shows moderate to strong cytoplasmic positivity in cells in seminiferous ducts.
- Submitted by
- Invitrogen Antibodies (provider)
- Main image

- Experimental details
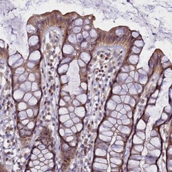
- Immunohistochemical staining of TMEM39A in human rectum using a TMEM39A Polyclonal Antibody (Product # PA5-58669) shows moderate cytoplasmic and membranous positivity in glandular cells.
- Submitted by
- Invitrogen Antibodies (provider)
- Main image

- Experimental details
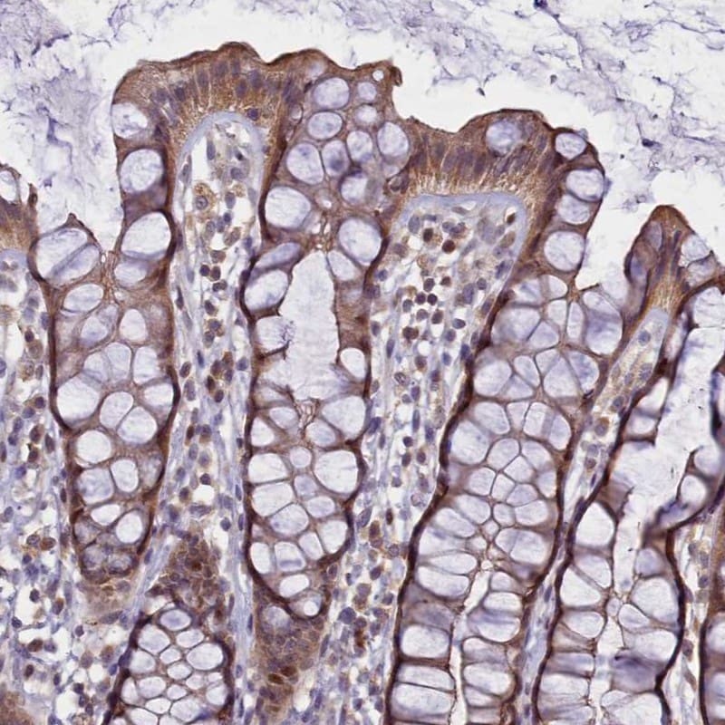
- Immunohistochemical staining of TMEM39A in human rectum using TMEM39A Polyclonal Antibody (Product # PA5-58669) shows moderate to strong cytoplasmic positivity in glandular cells.