Antibody data
- Antibody Data
- Antigen structure
- References [1]
- Comments [0]
- Validations
- Immunohistochemistry [5]
- Other assay [1]
Submit
Validation data
Reference
Comment
Report error
- Product number
- PA5-58432 - Provider product page

- Provider
- Invitrogen Antibodies
- Product name
- FCHSD2 Polyclonal Antibody
- Antibody type
- Polyclonal
- Antigen
- Recombinant protein fragment
- Description
- Immunogen sequence: VEELSASENG DTPWMREIQI SPSPKPHASL PPLPLYDQPP SSPYPSPDKR SSLYFPRSPS ANEKSLHAES PGFSQASRHT PETSYGKLRP VRA Highest antigen sequence identity to the following orthologs: Mouse - 92%, Rat - 89%.
- Reactivity
- Human
- Host
- Rabbit
- Isotype
- IgG
- Vial size
- 100 μL
- Concentration
- 0.1 mg/mL
- Storage
- Store at 4°C short term. For long term storage, store at -20°C, avoiding freeze/thaw cycles.
Submitted references FCHSD2 controls oncogenic ERK1/2 signaling outcome by regulating endocytic trafficking.
Xiao GY, Schmid SL
PLoS biology 2020 Jul;18(7):e3000778
PLoS biology 2020 Jul;18(7):e3000778
No comments: Submit comment
Supportive validation
- Submitted by
- Invitrogen Antibodies (provider)
- Main image

- Experimental details
- Immunohistochemical analysis of FCHSD2 in human cerebral cortex using FCHSD2 Polyclonal Antibody (Product # PA5-58432) shows moderate positivity in neuronal processes.
- Submitted by
- Invitrogen Antibodies (provider)
- Main image

- Experimental details
- Immunohistochemical analysis of FCHSD2 in human fallopian tube using FCHSD2 Polyclonal Antibody (Product # PA5-58432) shows moderate positivity in apical membrane in glandular cells.
- Submitted by
- Invitrogen Antibodies (provider)
- Main image

- Experimental details
- Immunohistochemical analysis of FCHSD2 in human heart muscle using FCHSD2 Polyclonal Antibody (Product # PA5-58432) shows weak cytoplasmic positivity in cardiomyocytes.
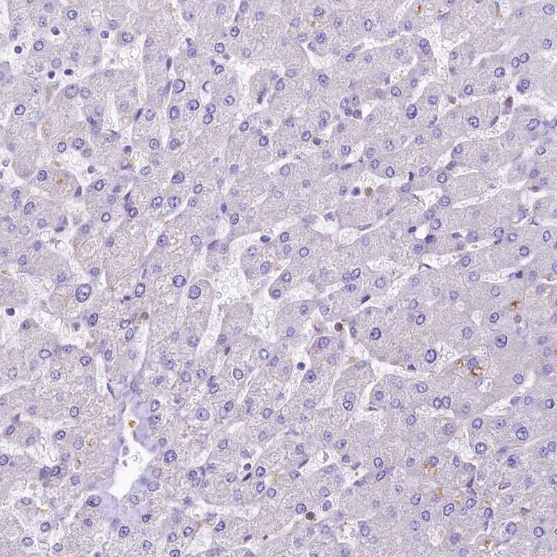
- Submitted by
- Invitrogen Antibodies (provider)
- Main image

- Experimental details
- Immunohistochemical analysis of FCHSD2 in human liver using FCHSD2 Polyclonal Antibody (Product # PA5-58432) shows no positivity in hepatocytes as expected.
- Submitted by
- Invitrogen Antibodies (provider)
- Main image

- Experimental details
- Immunohistochemical analysis of FCHSD2 in human fallopian tube using FCHSD2 Polyclonal Antibody (Product # PA5-58432) shows moderate positivity in apical membrane in glandular cells.
Supportive validation
- Submitted by
- Invitrogen Antibodies (provider)
- Main image

- Experimental details
- Fig 6 FCHSD2 and Rab7 reciprocally regulate endocytic trafficking and lung cancer progression. (A) FCHSD2 regulates multiple steps in endocytic trafficking. We previously showed that activation of FCHSD2 downstream of ERK1/2 increases the rate of clathrin-coated pit initiation and CME in NSCLC cells. Here, we report that FCHSD2 also increases the fraction of RTK trafficking from early endosomes to recycling endosomes and negatively regulates Rab7 activity, maturation of late endosomes/multivesicular bodies, and trafficking to lysosomes. Together, these activities of FCHSD2 increase the flux of RTKs through early endocytic pathways, thus altering their downstream signaling. Loss of FCHSD2 results in the accumulation of RTKs in late endosomes/lysosomes, increases levels of activated ERK1/2 in the nucleus, and enhances transcription and expression of c-Jun, EGFR, and MET. (B) Immunohistochemistry images and quantification (expressed as H-score) of FCHSD2 staining in representative lung tumor tissues. Scale bar, 100 mum. Two-tailed Student t tests were used to assess statistical significance. ** P < 0.005, *** P < 0.0005. (C) Kaplan-Meier survival analysis of NSCLC or lung adenocarcinoma patients was performed in FCHSD2 or Rab7 high- and low-expression cohorts. The underlying data for this figure can be found in S1 Data . CCP, clathrin-coated pit; c-Jun, proto-oncogene c-Jun; CME, clathrin-mediated endocytosis; EE, early endosome; EGFR, epidermal growth factor receptor; ERK1/2, e