Antibody data
- Antibody Data
- Antigen structure
- References [0]
- Comments [0]
- Validations
- Western blot [2]
- Immunocytochemistry [2]
- Immunohistochemistry [3]
Submit
Validation data
Reference
Comment
Report error
- Product number
- TA327331 - Provider product page

- Provider
- OriGene
- Product name
- DLGAP5 Rabbit Polyclonal Antibody
- Antibody type
- Polyclonal
- Description
- DLGAP5 Rabbit Polyclonal Antibody
- Host
- Rabbit
- Conjugate
- Unconjugated
- Epitope
- DLGAP5
- Isotype
- IgG
- Antibody clone number
- NULL
- Vial size
- 100 µg
- Concentration
- 1mg/ml
No comments: Submit comment
Supportive validation
- Submitted by
- OriGene (provider)
- Main image

- Experimental details
- Western blot analysis of extracts of HEK-293 cell lines, using DLGAP5 antibody.
- Submitted by
- OriGene (provider)
- Main image

- Experimental details
- Western blot analysis of extracts of various tissues, using DLGAP5 antibody.
- Validation comment
- WB
Supportive validation
- Submitted by
- OriGene (provider)
- Main image

- Experimental details
- Immunofluorescence analysis of U2OS cell using DLGAP5 antibody. Blue: DAPI for nuclear staining.
- Validation comment
- IF
- Submitted by
- OriGene (provider)
- Main image

- Experimental details
- Immunofluorescence analysis of HeLa cell using DLGAP5 antibody. Blue: DAPI for nuclear staining.
- Validation comment
- IF
Supportive validation
- Submitted by
- OriGene (provider)
- Main image

- Experimental details
- Immunohistochemistry of paraffin-embedded human stomach transfer using DLGAP5 antibody at dilution of 1:200 (x400 lens).
- Validation comment
- IHC
- Submitted by
- OriGene (provider)
- Main image

- Experimental details
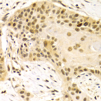
- Immunohistochemistry of paraffin-embedded Human gastric cancer using DLGAP5 antibody at dilution of 1:100 (x400 lens).
- Validation comment
- IHC
- Submitted by
- OriGene (provider)
- Main image

- Experimental details
- Immunohistochemistry of paraffin-embedded human esophageal cancer using DLGAP5 antibody at dilution of 1:100 (x400 lens).
- Validation comment
- IHC