Antibody data
- Antibody Data
- Antigen structure
- References [0]
- Comments [0]
- Validations
- Western blot [1]
- Immunohistochemistry [1]
Submit
Validation data
Reference
Comment
Report error
- Product number
- GTX131079 - Provider product page

- Provider
- GeneTex
- Product name
- WAC antibody
- Antibody type
- Polyclonal
- Reactivity
- Human, Mouse
- Host
- Rabbit
No comments: Submit comment
Supportive validation
- Submitted by
- GeneTex (provider)
- Main image

- Experimental details
- WAC antibody detects WAC protein by western blot analysis. Whole cell extracts (30 £gg) was separated by 7.5% SDS-PAGE, and the membrane was blotted with WAC antibody (GTX131079) diluted at 1:500.
Supportive validation
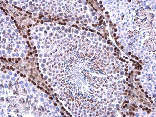
- Submitted by
- GeneTex (provider)
- Main image

- Experimental details
- WAC antibody detects WAC protein at nucleus in mouse testis by immunohistochemical analysis. Sample: Paraffin-embedded mouse testis. WAC antibody (GTX131079) diluted at 1:1000.