Antibody data
- Antibody Data
- Antigen structure
- References [0]
- Comments [0]
- Validations
- Western blot [1]
- Immunohistochemistry [3]
Submit
Validation data
Reference
Comment
Report error
- Product number
- PA5-58158 - Provider product page

- Provider
- Invitrogen Antibodies
- Product name
- FAM170A Polyclonal Antibody
- Antibody type
- Polyclonal
- Antigen
- Recombinant protein fragment
- Description
- Immunogen sequence: VSLSSYSSYK TCVSSLCVNK EERGMKIYYM QVQMNKGVAV SWETEETLES LEKQPRMEEV TLSEVVRVGT PPSDVSTRN Highest antigen sequence identity to the following orthologs: Mouse - 81%, Rat - 82%.
- Reactivity
- Human
- Host
- Rabbit
- Isotype
- IgG
- Vial size
- 100 μL
- Concentration
- 0.4 mg/mL
- Storage
- Store at 4°C short term. For long term storage, store at -20°C, avoiding freeze/thaw cycles.
No comments: Submit comment
Supportive validation
- Submitted by
- Invitrogen Antibodies (provider)
- Main image

- Experimental details
- Western blot analysis of FAM170A in control (vector only transfected HEK293T lysate) and FAM170A over-expression lysate (Co-expressed with a C-terminal myc-DDK tag (~3.1 kDa) in mammalian HEK293T cells). Samples were probed using a FAM170A Polyclonal Antibody (Product # PA5-58158).
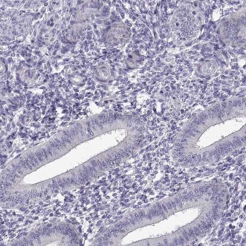
Supportive validation
- Submitted by
- Invitrogen Antibodies (provider)
- Main image

- Experimental details
- Immunohistochemical staining of FAM170A in human testis and endometrium tissues using FAM170A Polyclonal Antibody (Product # PA5-58158). Corresponding FAM170A RNA-seq data are presented for the same tissues.
- Submitted by
- Invitrogen Antibodies (provider)
- Main image

- Experimental details
- Immunohistochemical staining of FAM170A in human testis using FAM170A Polyclonal Antibody (Product # PA5-58158) shows high expression.
- Submitted by
- Invitrogen Antibodies (provider)
- Main image

- Experimental details
- Immunohistochemical staining of FAM170A in human endometrium using FAM170A Polyclonal Antibody (Product # PA5-58158) shows low expression as expected.