Antibody data
- Antibody Data
- Antigen structure
- References [0]
- Comments [0]
- Validations
- Western blot [3]
- Immunocytochemistry [2]
- Immunohistochemistry [5]
- Other assay [1]
Submit
Validation data
Reference
Comment
Report error
- Product number
- UM500079 - Provider product page

- Provider
- OriGene
- Proper citation
- OriGene Cat#UM500079, RRID:AB_2629091
- Product name
- SYP mouse monoclonal antibody,clone UMAB112
- Antibody type
- Monoclonal
- Description
- SYP mouse monoclonal antibody,clone UMAB112
- Host
- Mouse
- Conjugate
- Unconjugated
- Epitope
- SYP
- Isotype
- IgG
- Antibody clone number
- UMAB112
- Vial size
- 100 µl
- Concentration
- 1.00mg/ml
No comments: Submit comment
Supportive validation
- Submitted by
- OriGene (provider)
- Main image

- Experimental details
- Western blot of cell lysates (35ug) from 9 different cell lines (1: HepG2, 2: HeLa, 3: SV-T2, 4: A549. 5: COS7, 6: Jurkat, 7: PC-12, 8: MDCK, 9: MCF7).
- Validation comment
- WB
- Submitted by
- OriGene (provider)
- Main image

- Experimental details
- Western blot of human tissue lysates (15ug) from 10 different tissues (1: Testis, 2: Omentum, 3: Uterus, 4: Breast, 5: Brain, 6: Liver, 7: Ovary, 8: Thyroid, 9: Colon, 10: Spleen). Diluation: 1:500.
- Validation comment
- WB
- Submitted by
- OriGene (provider)
- Main image

- Experimental details
- Western blot of mouse tissue lysates (20ug) from Brain. Primary antibody diluation: 1:500. Secondary antibody dilution: Mouse TrueBlot? Ultra (1:1000).
- Validation comment
- WB
Supportive validation
- Submitted by
- OriGene (provider)
- Main image

- Experimental details
- Immunofluorescent staining of SH-SY5Y cells using anti-SYP mouse monoclonal antibody (UM500079, green, 1:100). Actin filaments were labeled with Alexa Fluor? 594 Phalloidin (red), and nuclear with DAPI (blue). Scale bar, 20?m.
- Validation comment
- IF
- Submitted by
- OriGene (provider)
- Main image

- Experimental details
- Confocal immunofluoresce image of primary rat neurons labeled with anti-SYP mouse monoclonal antibody (UM500079, green, 1:100). Actin filaments were labeled with TRICT-Phalloidin (red), and nuclear with DAPI (blue). Scale bar, 20um.
- Validation comment
- IF
Supportive validation
- Submitted by
- OriGene (provider)
- Main image

- Experimental details
- Immunohistochemical staining of paraffin-embedded Human embryonic brain cortex tissue using anti-SYP mouse monoclonal antibody. (UM500079; heat-induced epitope retrieval by 10mM citric buffer, pH6.0, 120C for 3min)
- Submitted by
- OriGene (provider)
- Main image

- Experimental details
- Immunohistochemical staining of paraffin-embedded Human adult brain tissue using anti-SYP mouse monoclonal antibody. (UM500079; heat-induced epitope retrieval by 10mM citric buffer, pH6.0, 120C for 3min)
- Validation comment
- IHC
- Submitted by
- OriGene (provider)
- Main image

- Experimental details
- Immunohistochemical staining of paraffin-embedded human pancreas using anti-SYP clone UMAB112 mouse monoclonal antibody at 1:200 dilution of 0.4mg/mL detection with Polink2 Broad HRP DAB. UM500079 requires heat-induced epitope retrieval with Citrate pH6.0 at 95-100C 20 minutes. The image shows strong membranous and cytoplasmic staining in the Islets of Langerhans with no staining in the glandular cells.
- Validation comment
- IHC
- Submitted by
- OriGene (provider)
- Main image

- Experimental details
- Immunohistochemical staining of paraffin-embedded human carcinoid tumor using anti-SYP clone UMAB112 mouse monoclonal antibody at 1:200 dilution of 0.4mg/mL and detection with Polink2 Broad HRP DAB. UM500079 requires heat-induced epitope retrieval with Citrate pH6.0 at 95-100C 20 minutes. The image shows strong membranous and cytoplasmic staining in the tumor cells with surrounding stroma negative.
- Validation comment
- IHC
- Submitted by
- OriGene (provider)
- Main image

- Experimental details
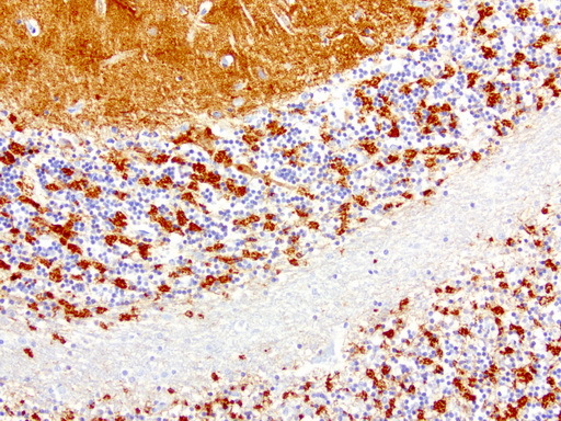
- Immunohistochemical staining of paraffin-embedded human brain using anti-SYP clone UMAB112 mouse monoclonal antibody at 1:800 dilution 1mg/mL and detection with Polink2 Broad HRP DAB. UM500079 requires heat-induced epitope retrieval with citrate pH6.0 in a presure cooker for 3 minutes at 110C. The image shows strong membranous and cytoplasmic staining in granular layer and purkinje cells.
- Validation comment
- IHC
Supportive validation
- Submitted by
- OriGene (provider)
- Main image

- Experimental details
- OriGene overexpression protein microarray chip was immunostained with UltraMAB anti-SYP mouse monoclonal antibody (UM500079). The positive reactive proteins are highlighted with two red arrows in the enlarged subarray. All the positive controls spotted in this subarray are also labeled for clarification.
- Validation comment
- 10K-CHIP