Antibody data
- Antibody Data
- Antigen structure
- References [0]
- Comments [0]
- Validations
- Western blot [1]
- Immunohistochemistry [2]
Submit
Validation data
Reference
Comment
Report error
- Product number
- AM06430SU-N - Provider product page

- Provider
- Acris Antibodies GmbH
- Proper citation
- Acris Antibodies GmbH Cat#AM06430SU-N, RRID:AB_11216641
- Product name
- anti Synaptophysin / SYP
- Antibody type
- Monoclonal
- Antigen
- Purified recombinant fragment of SYP expressed in E. Coli.
- Reactivity
- Human, Rat
- Host
- Mouse
- Isotype
- IgG
- Antibody clone number
- 7H12
- Vial size
- 0.1 ml
No comments: Submit comment
Supportive validation
- Submitted by
- Acris Antibodies GmbH (provider)
- Main image

- Experimental details
- Western blot analysis using SYP antibody Cat.-No AM06430SU-N against rat brain tissue lysate.
Supportive validation
- Submitted by
- Acris Antibodies GmbH (provider)
- Main image

- Experimental details
- Formalin-Fixed, Paraffin-Embedded Human Adrenal stained with anti-SYP antibody Cat.-No AM06430SU-N
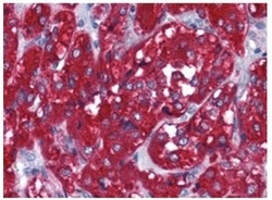
- Submitted by
- Acris Antibodies GmbH (provider)
- Main image

- Experimental details
- Formalin-Fixed, Paraffin-Embedded Human Small Intestine, myenteric plexus stained with anti-SYP antibody Cat.-No AM06430SU-N