Antibody data
- Antibody Data
- Antigen structure
- References [0]
- Comments [0]
- Validations
- Immunocytochemistry [2]
- Immunohistochemistry [4]
Submit
Validation data
Reference
Comment
Report error
- Product number
- PA5-58741 - Provider product page

- Provider
- Invitrogen Antibodies
- Product name
- PPTC7 Polyclonal Antibody
- Antibody type
- Polyclonal
- Antigen
- Recombinant protein fragment
- Description
- Immunogen sequence: ILTTSYCELL QNKVPLLGSS TACIVVLDRT SHRLHTANLG DSGFLVVRGG EVVHRSDEQQ HYFNTPFQLS IAPPEAEGVV LSDSPDAADS TSFDVQL Highest antigen sequence identity to the following orthologs: Mouse - 99%, Rat - 99%.
- Reactivity
- Human, Mouse, Rat
- Host
- Rabbit
- Isotype
- IgG
- Vial size
- 100 μL
- Concentration
- 0.4 mg/mL
- Storage
- Store at 4°C short term. For long term storage, store at -20°C, avoiding freeze/thaw cycles.
No comments: Submit comment
Supportive validation
- Submitted by
- Invitrogen Antibodies (provider)
- Main image

- Experimental details
- Immunofluorescent staining of PPTC7 in human cell line A-431 shows positivity in plasma membrane & cytoplasm. Samples were probed using a PPTC7 Polyclonal Antibody (Product # PA5-58741).
- Submitted by
- Invitrogen Antibodies (provider)
- Main image

- Experimental details
- Immunofluorecent analysis of PPTC7 in human cell line A-431 using PPTC7 Polyclonal Antibody (Product # PA5-58741). Staining shows localization to plasma membrane and cytosol.
Supportive validation
- Submitted by
- Invitrogen Antibodies (provider)
- Main image

- Experimental details
- Immunohistochemical analysis of PPTC7 in human kidney using PPTC7 Polyclonal Antibody (Product # PA5-58741) shows strong granular cytoplasmic positivity in cells in tubules.
- Submitted by
- Invitrogen Antibodies (provider)
- Main image

- Experimental details
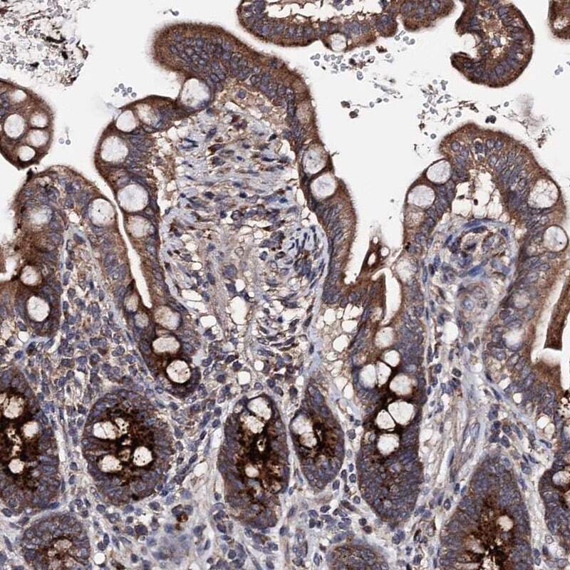
- Immunohistochemical analysis of PPTC7 in human rectum using PPTC7 Polyclonal Antibody (Product # PA5-58741) shows strong granular cytoplasmic positivity in glandular cells.
- Submitted by
- Invitrogen Antibodies (provider)
- Main image

- Experimental details
- Immunohistochemical staining of PPTC7 in human colon using a PPTC7 Polyclonal Antibody (Product # PA5-58741) shows strong cytoplasmic positivity in glandular cells.
- Submitted by
- Invitrogen Antibodies (provider)
- Main image

- Experimental details
- Immunohistochemical analysis of PPTC7 in human liver using PPTC7 Polyclonal Antibody (Product # PA5-58741) shows moderate granular cytoplasmic positivity in hepatocytes.